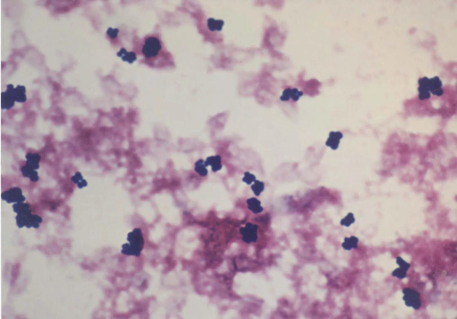
2 staphylococcus aureus