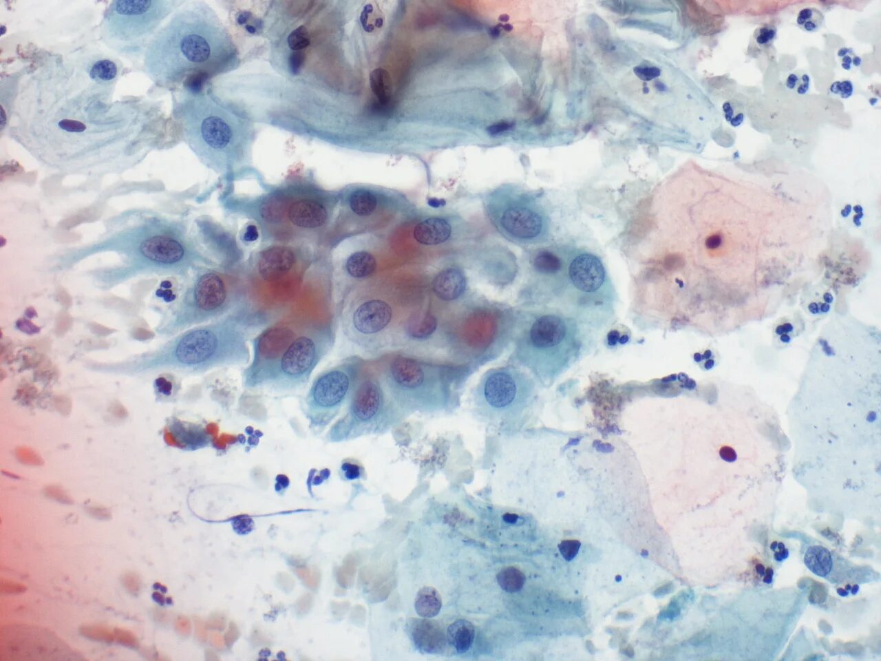
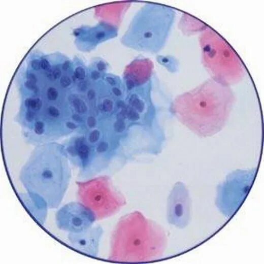
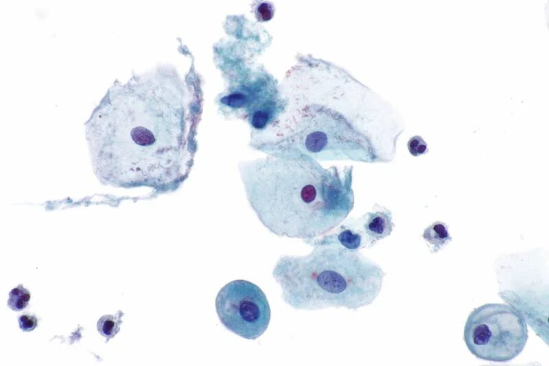
3 тип мазка