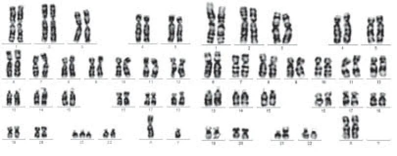
46 хх