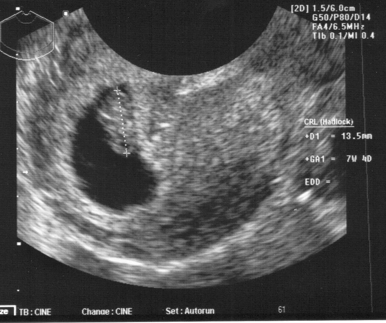
7 недель какой ребенок