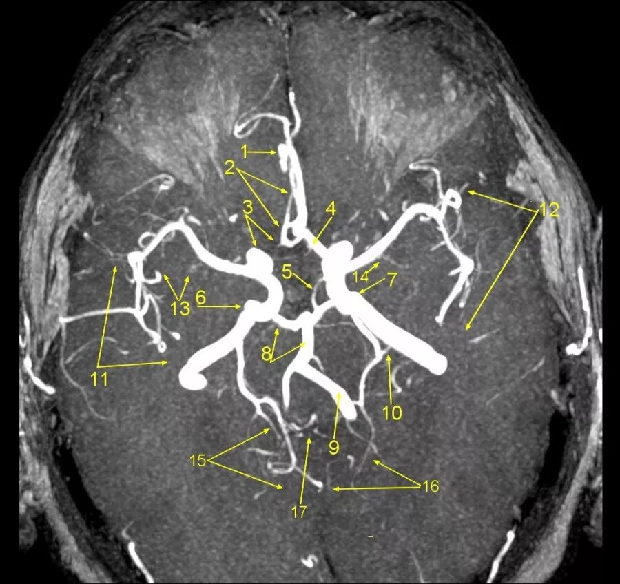
А1 сегмент