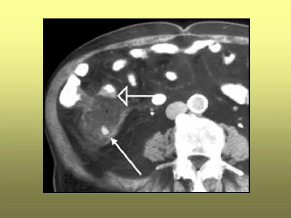
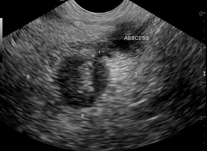
Абсцесс при аппендиците