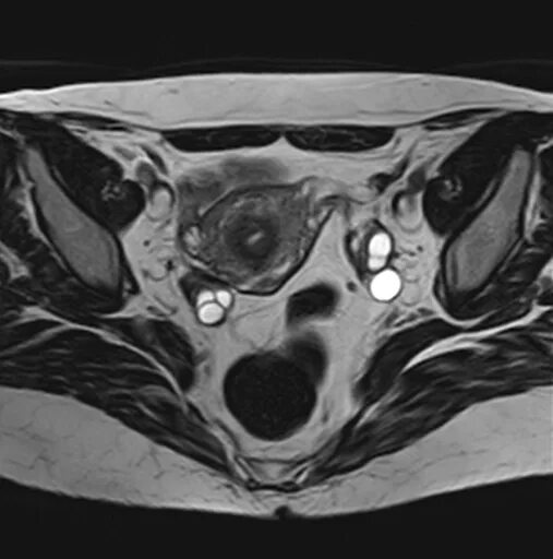
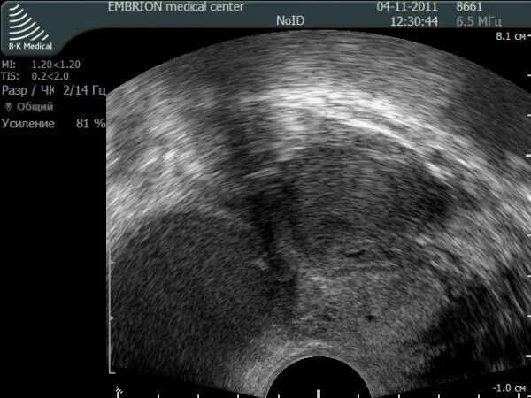
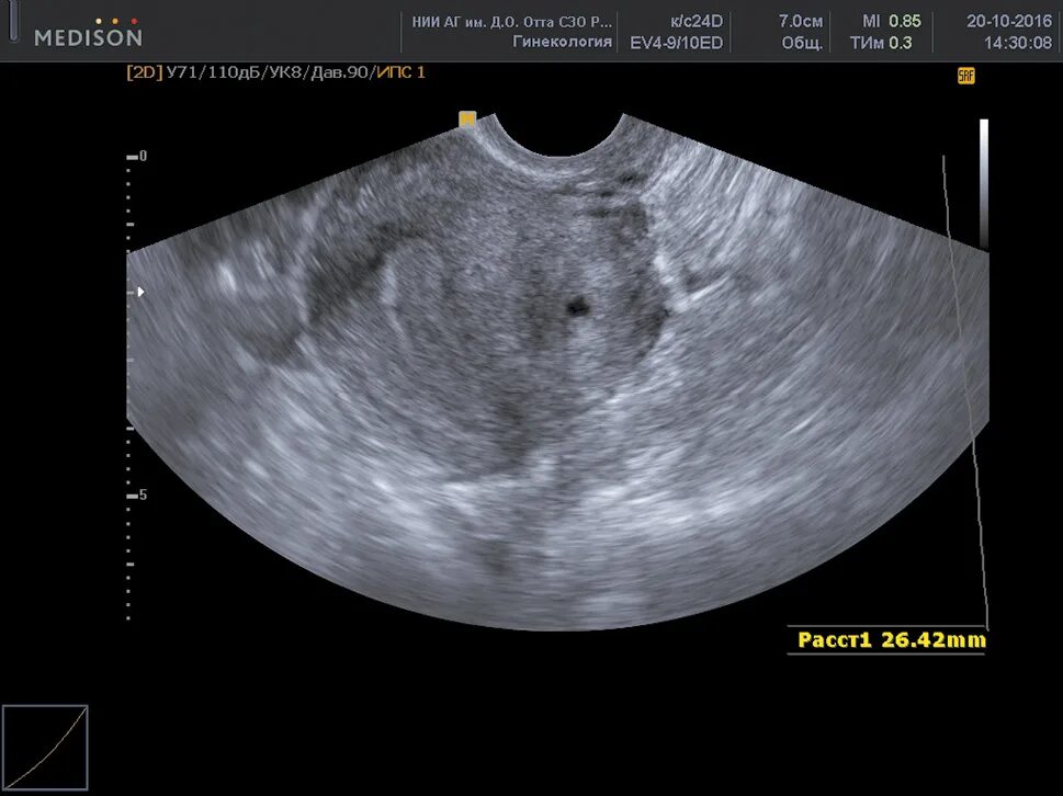
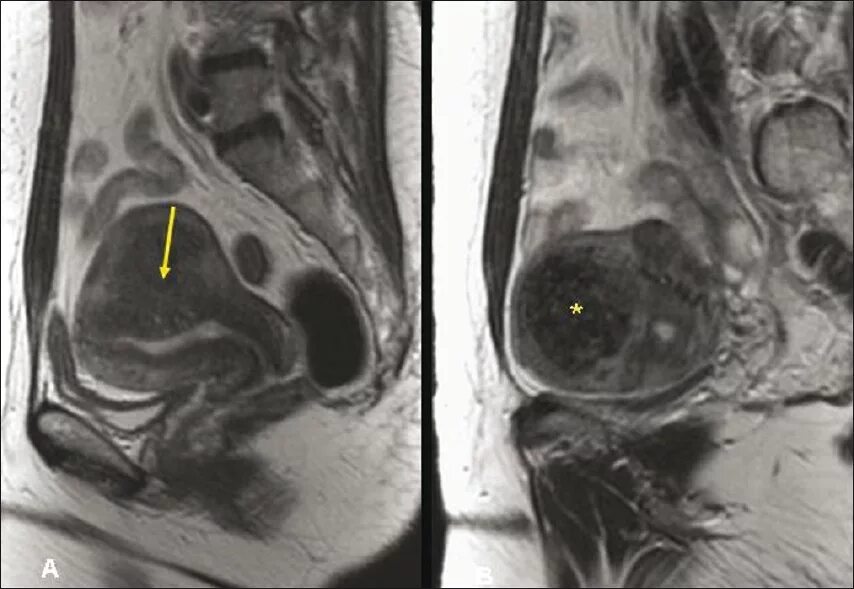
Аденомиоз диффузные изменения