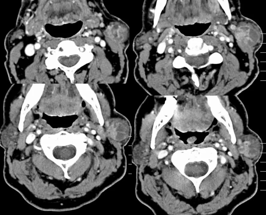
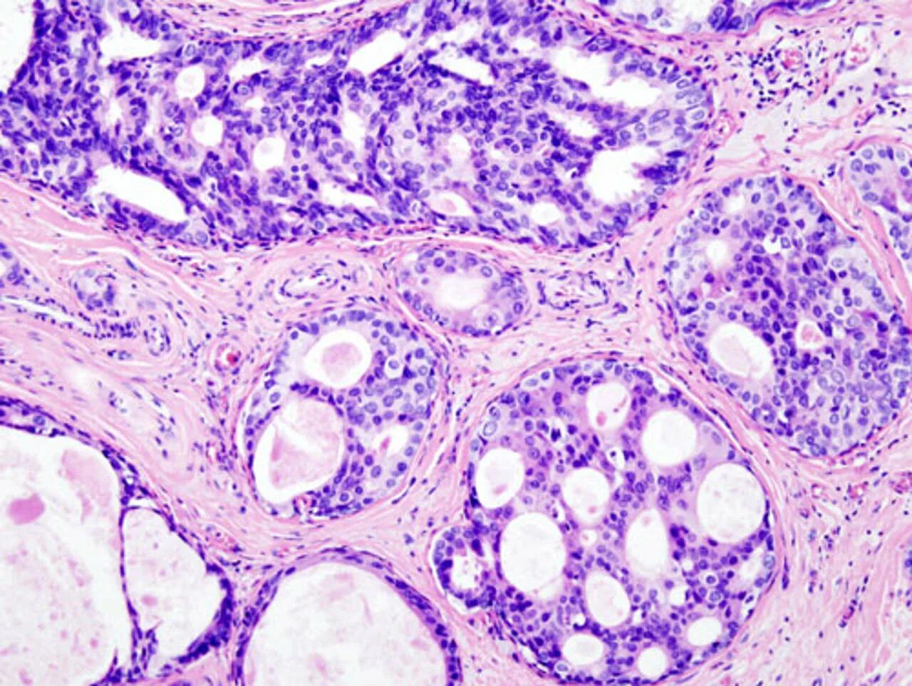
Advanced tumor