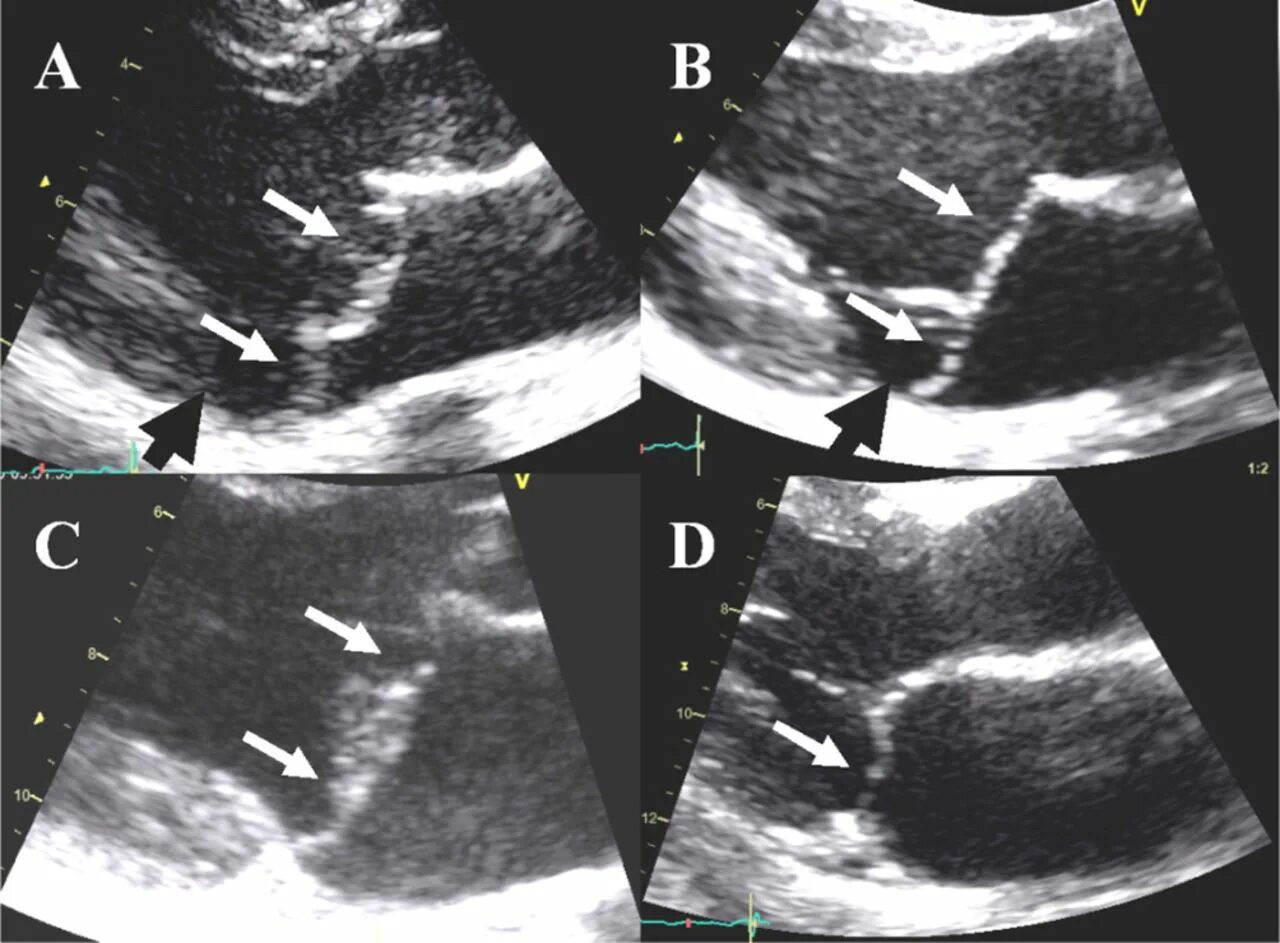
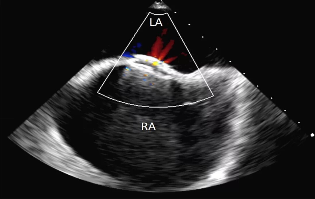
Аневризма мпп без