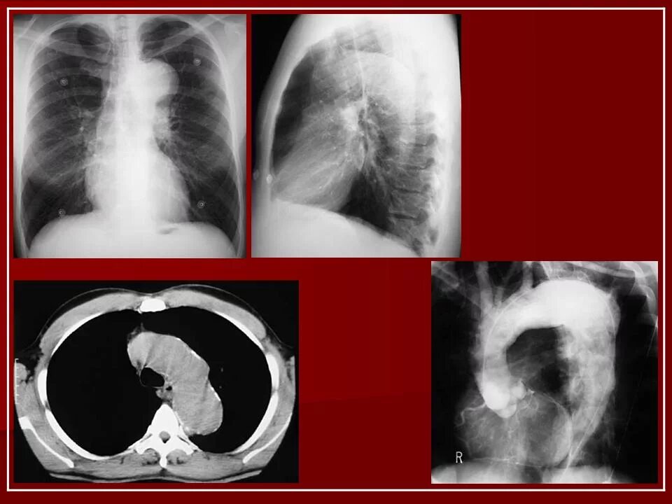
Аневризма нисходящего отдела аорты