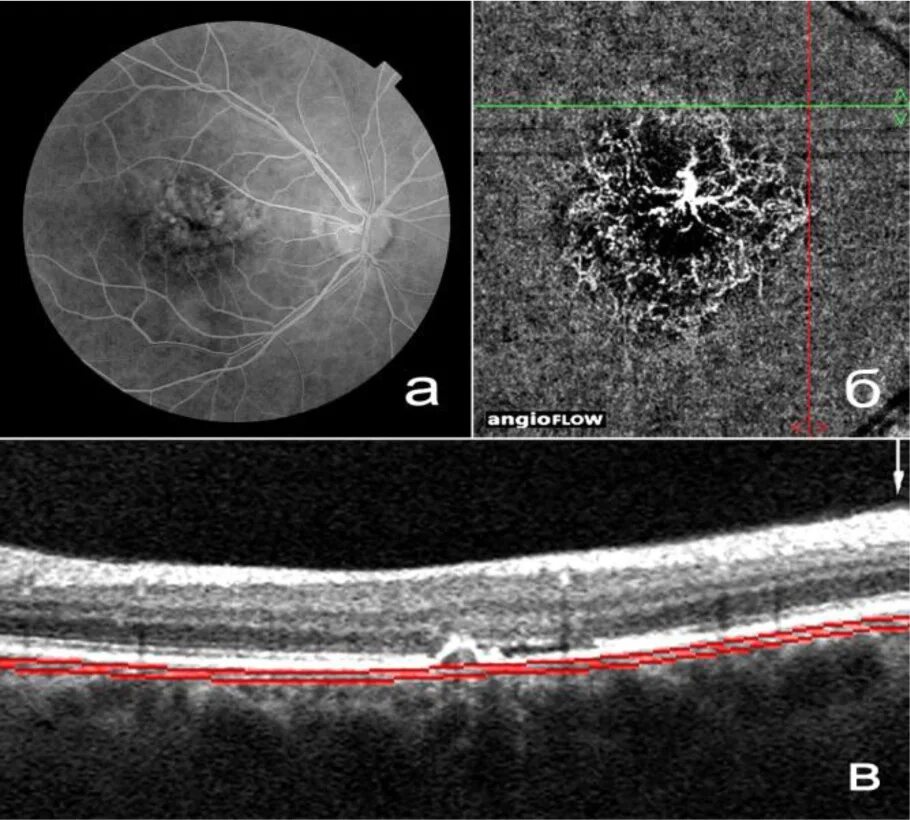
Ангио окт