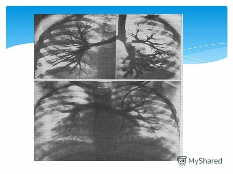
Аномалии органов дыхания