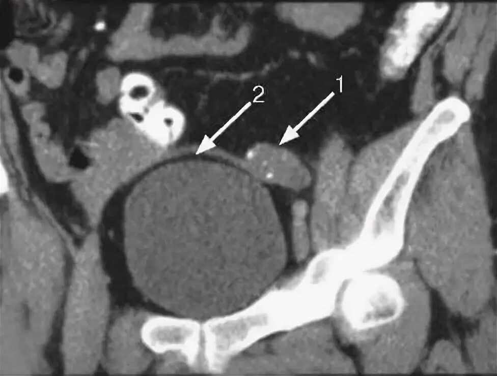
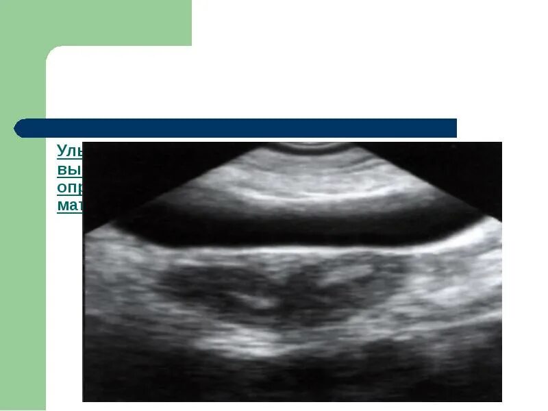
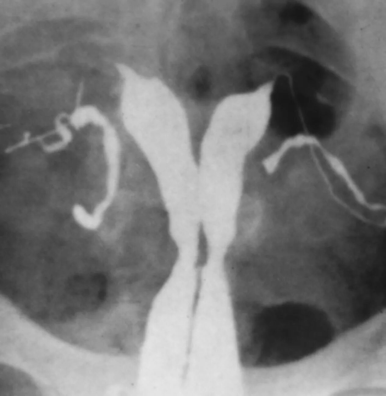
Аномалия полов орган