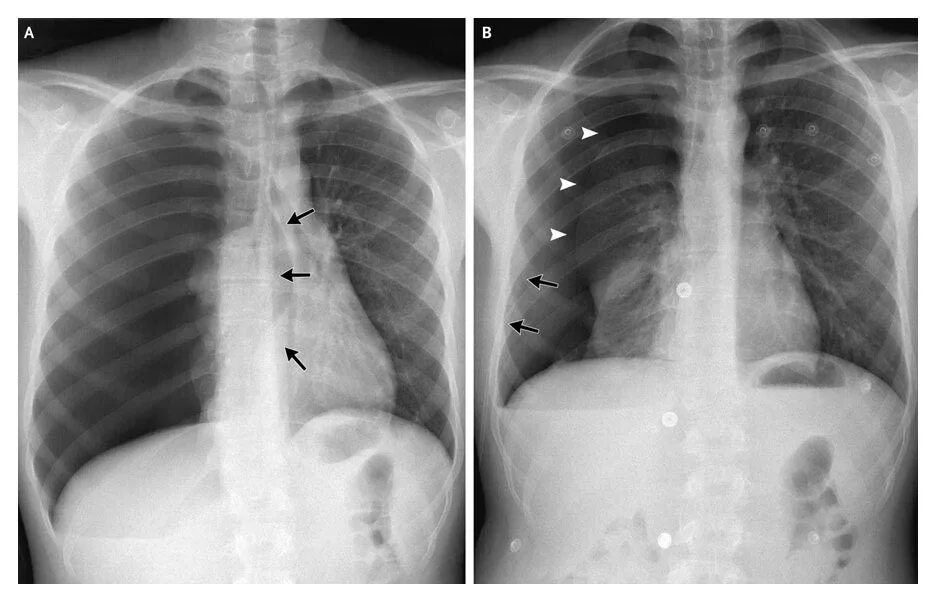
Апикальные спайки