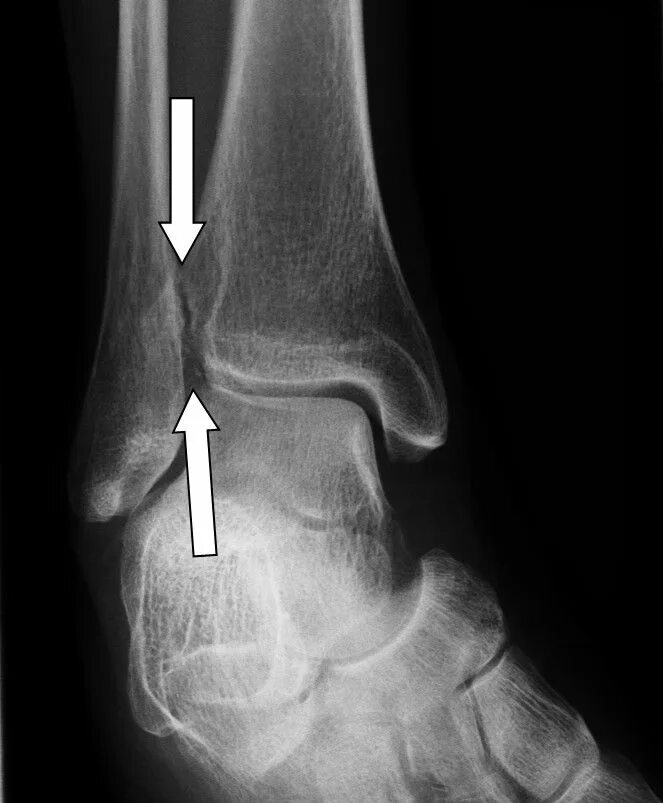
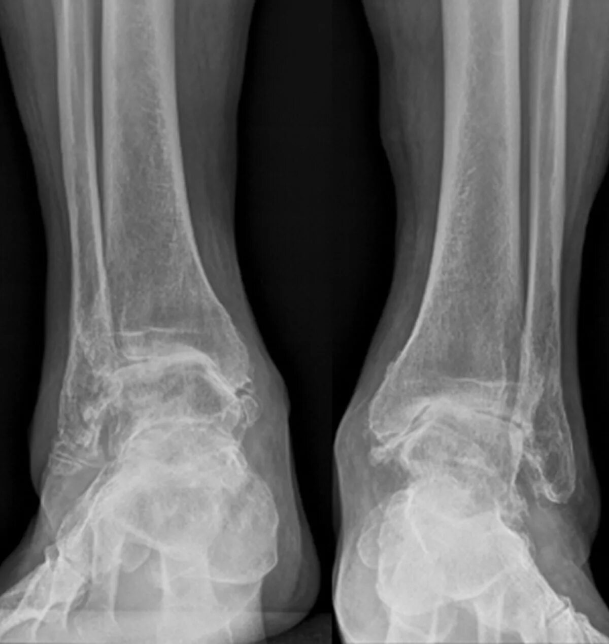
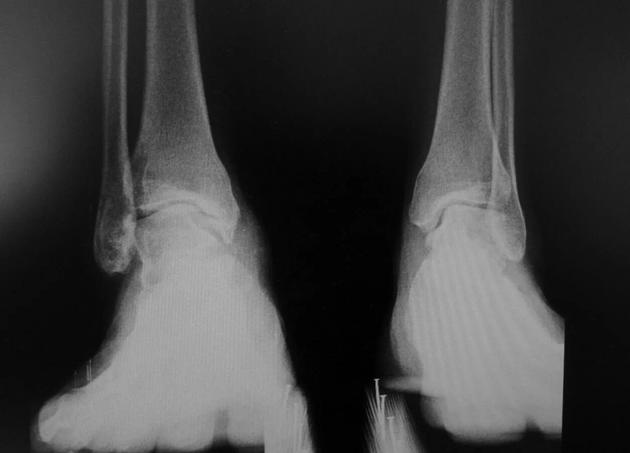
Артроз голеностопного сустава код