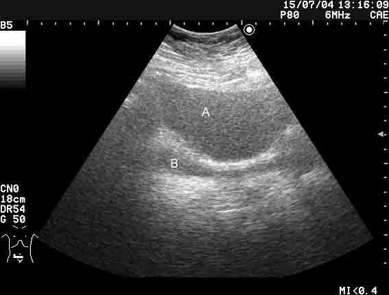
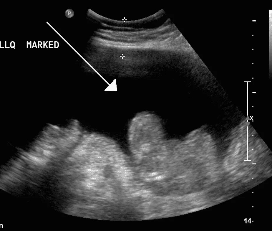
Асцит в малом тазу