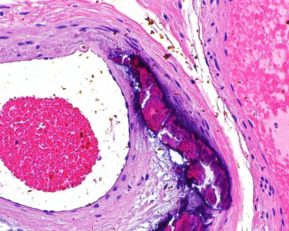
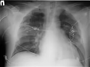
Атеросклероз легких