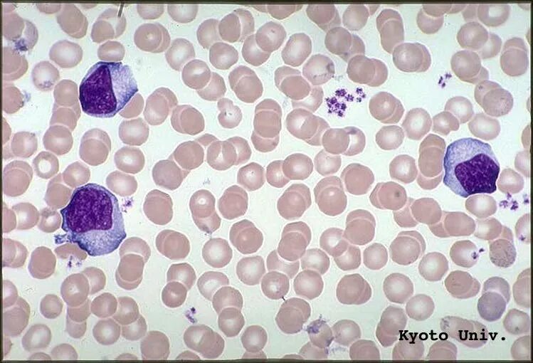
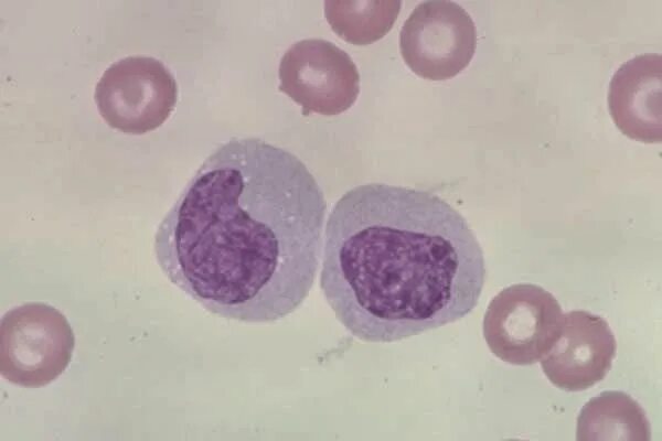
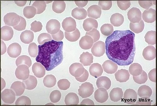
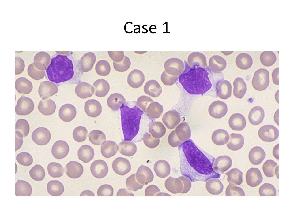
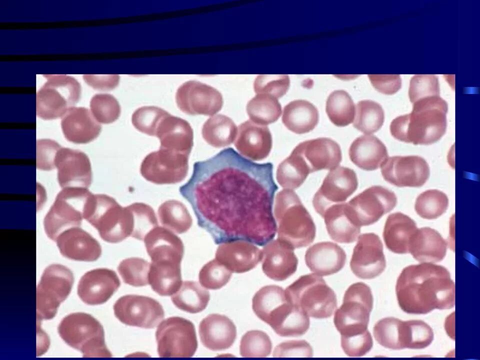
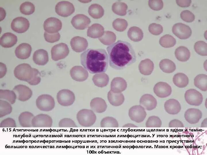
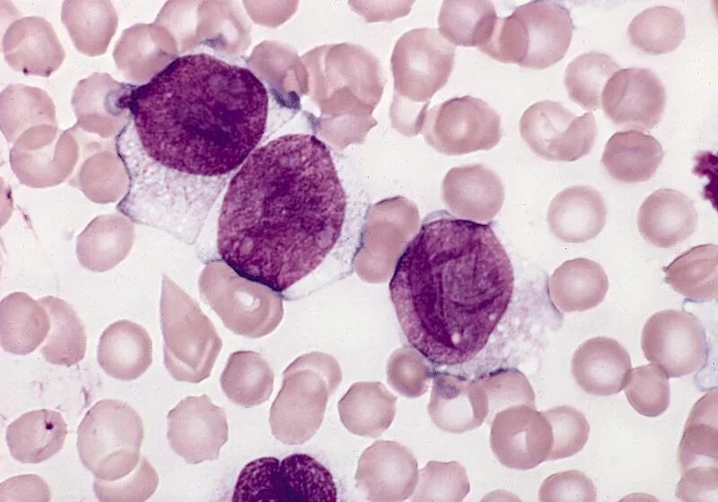
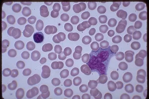
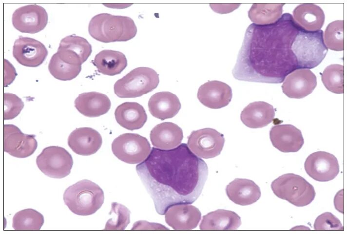
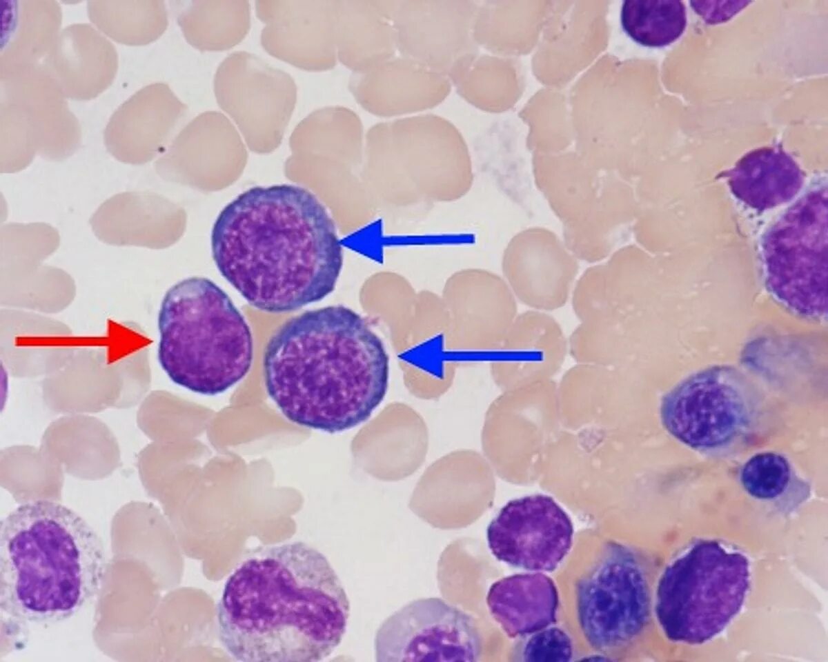
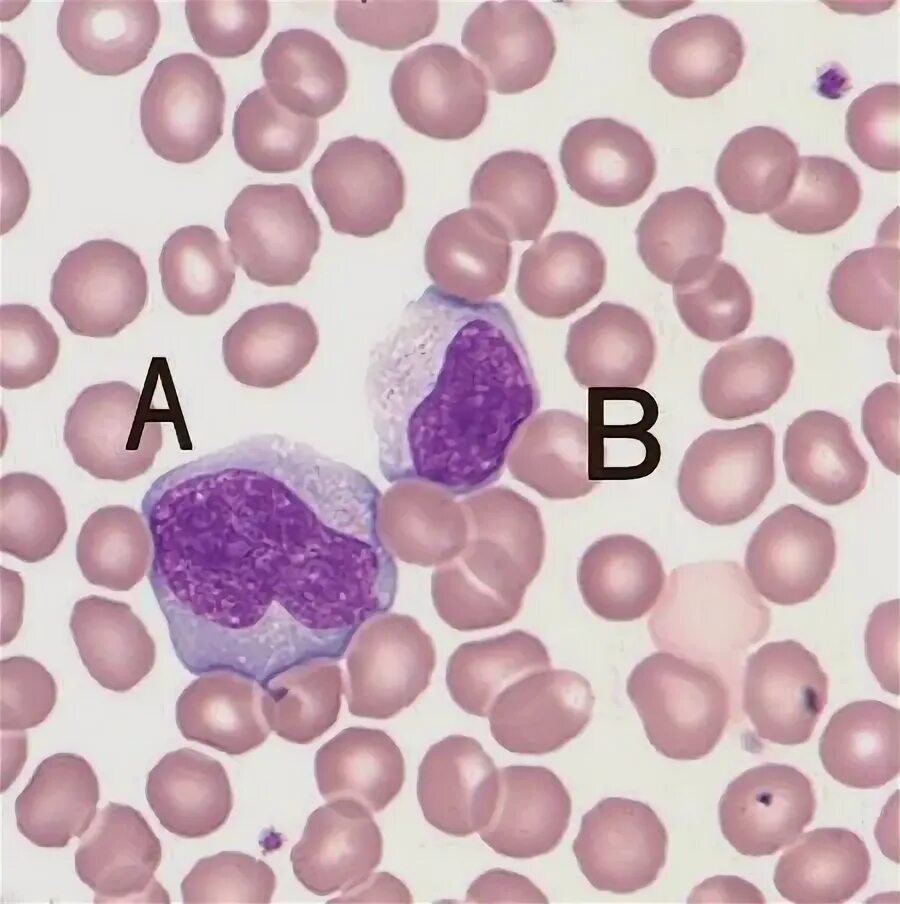
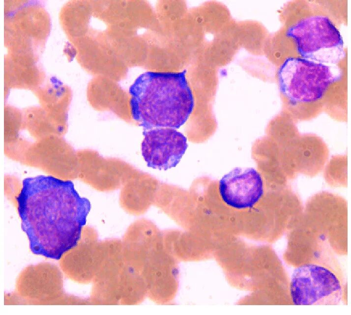
Атипичных мононуклеаров