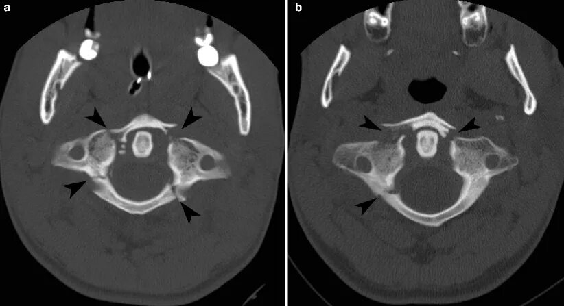
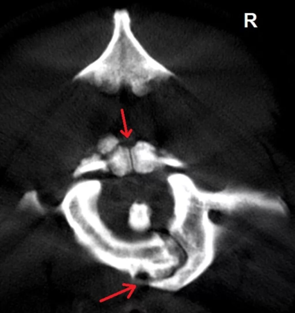
Атлант кт