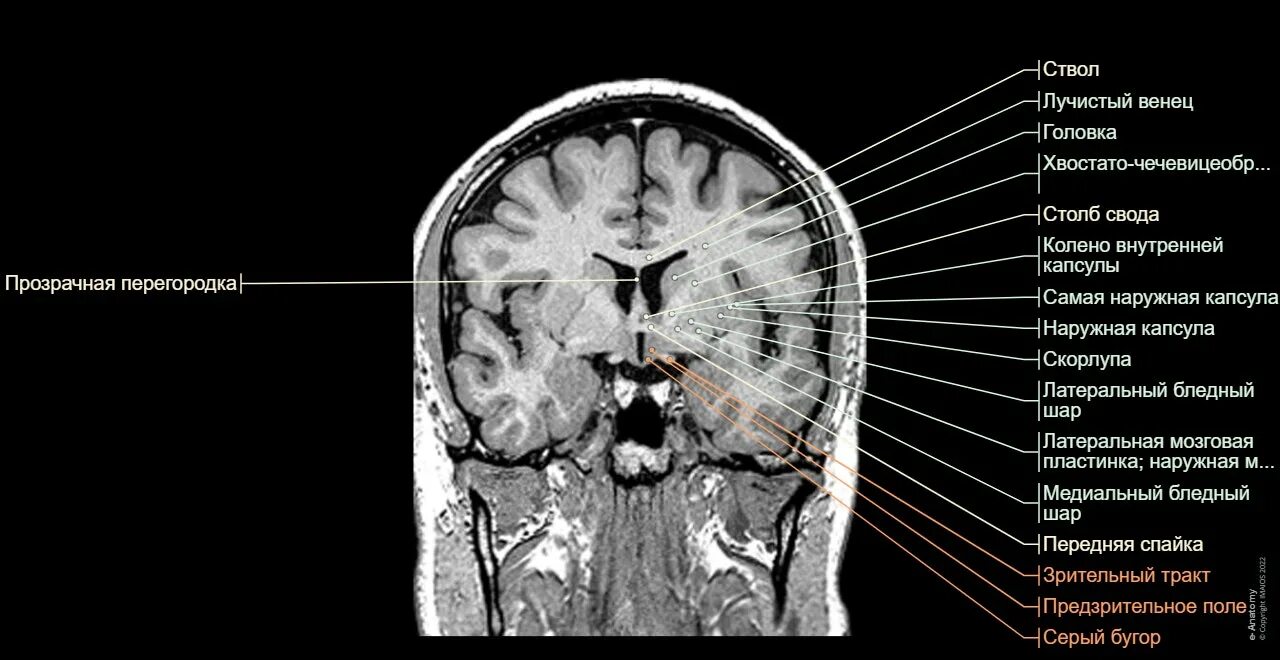
Атлас кт мрт