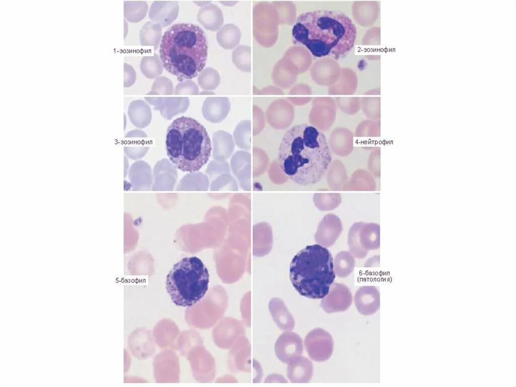
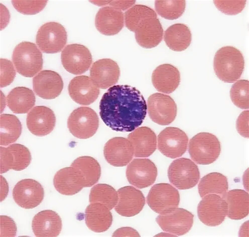
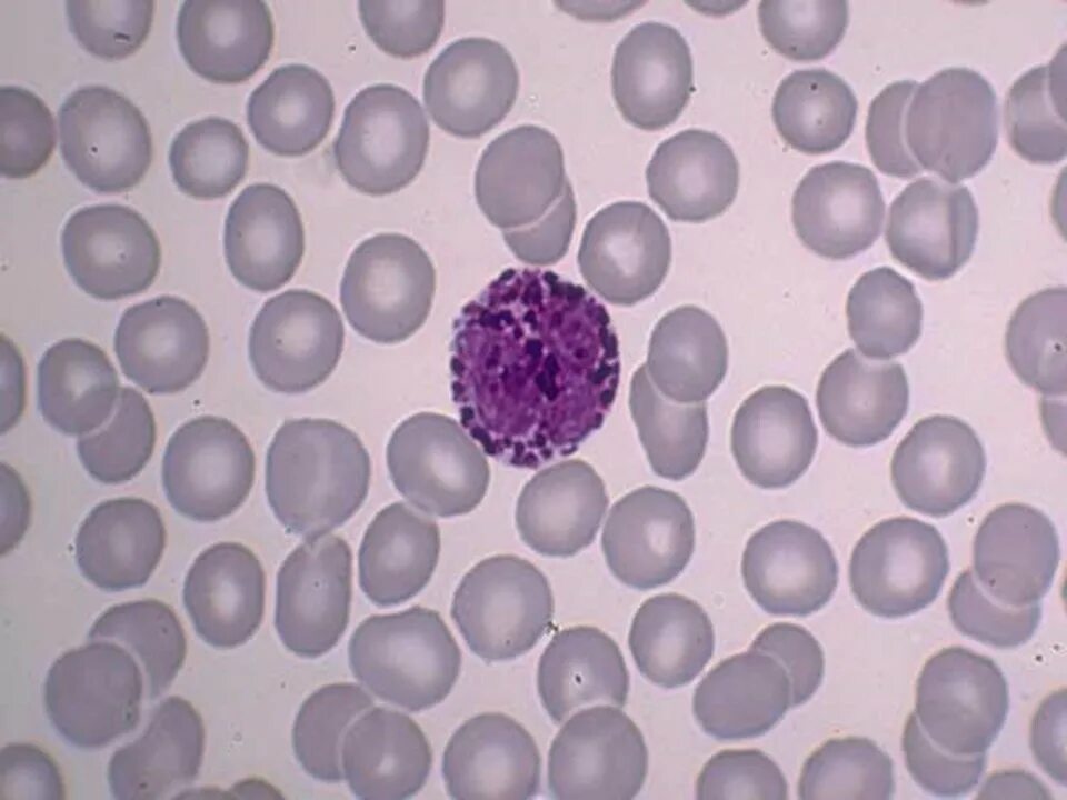
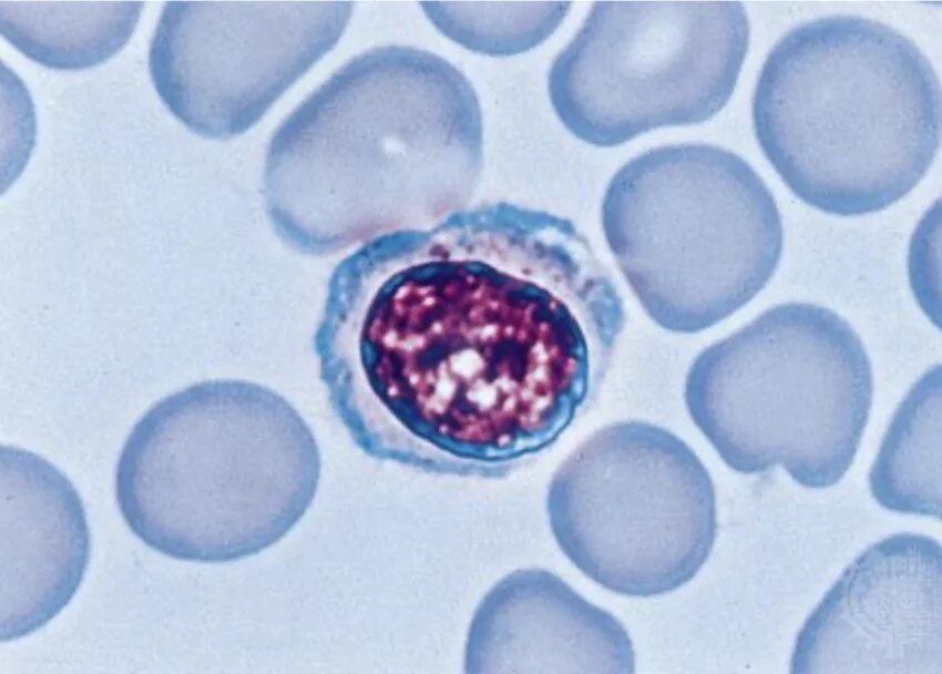
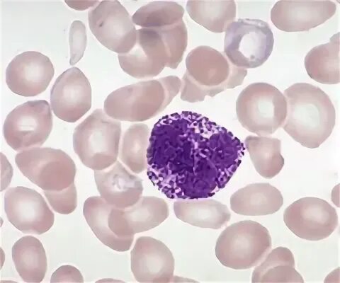
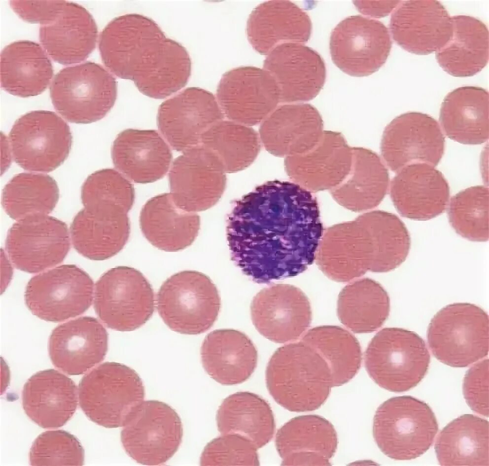
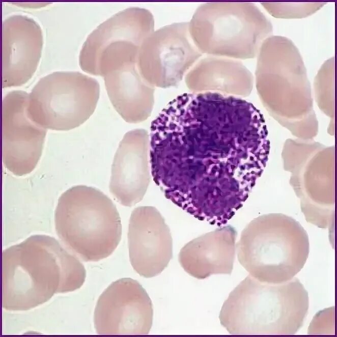
Базофилы 16