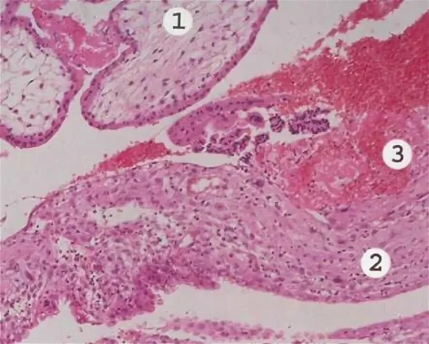
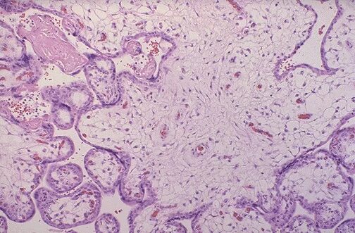
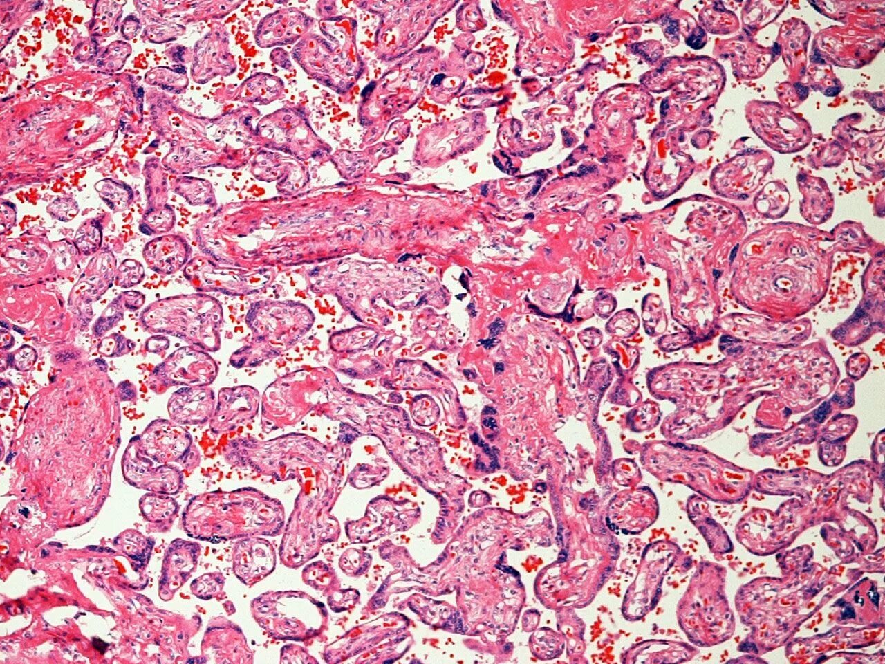
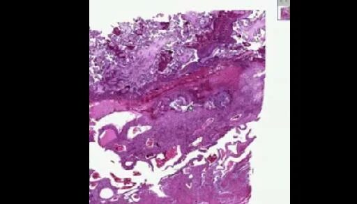
Беременность гистология