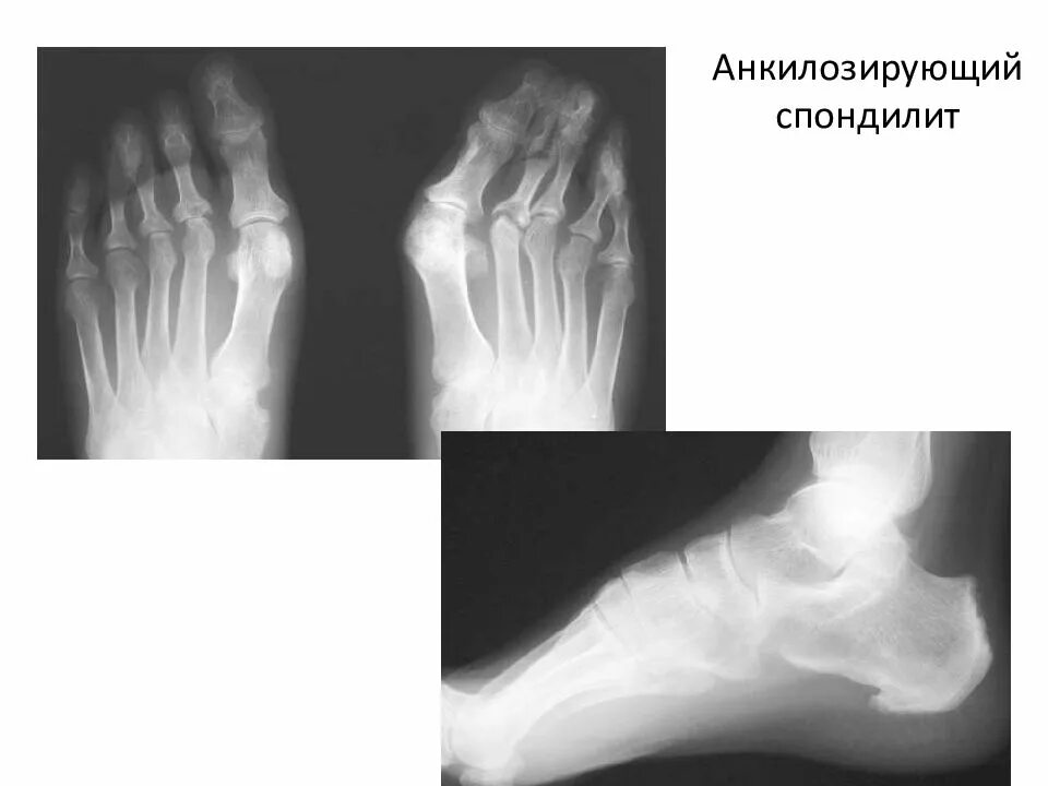
Болезнь бехтерева анкилозирующий