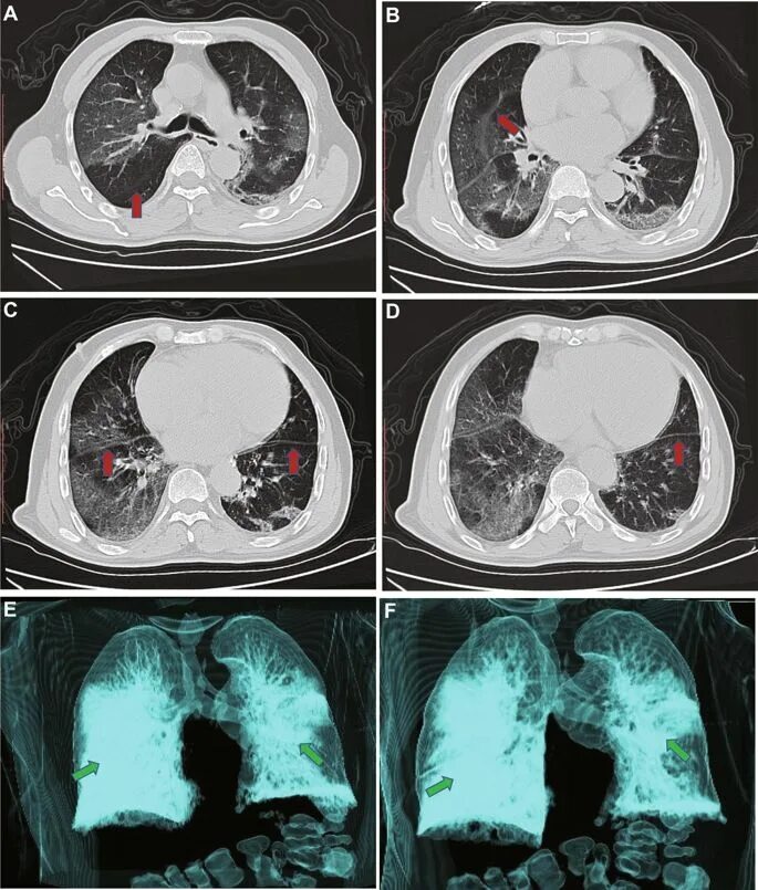
Болит кт