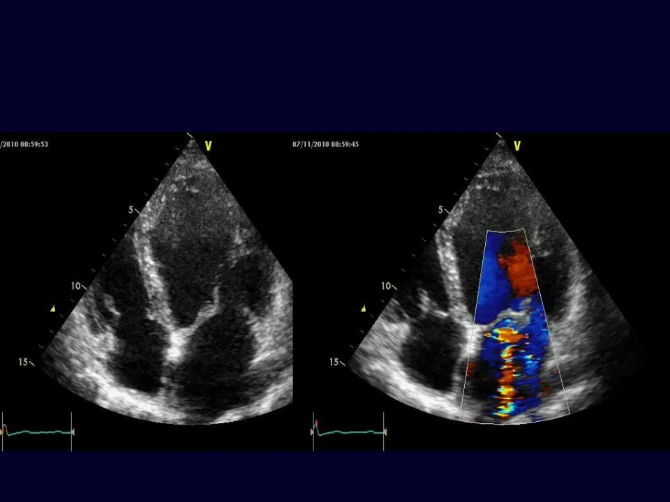
Частичный отрыв