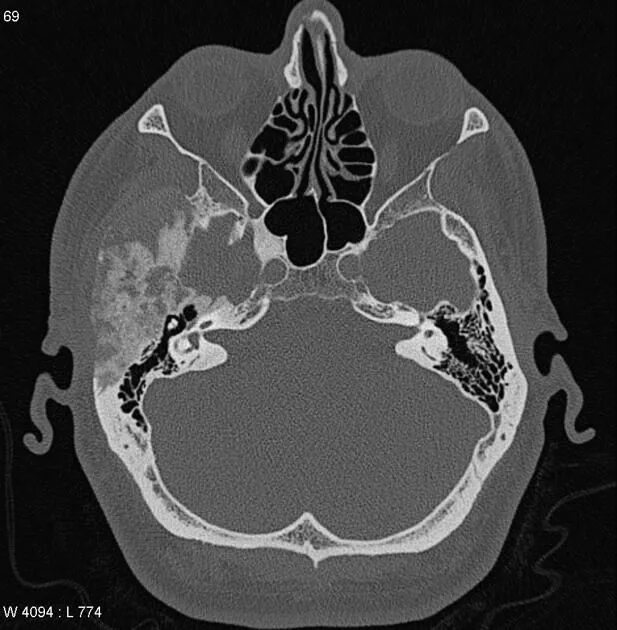
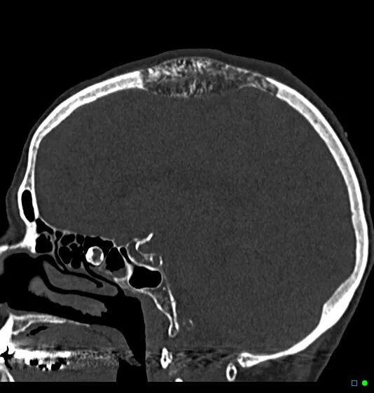
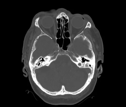
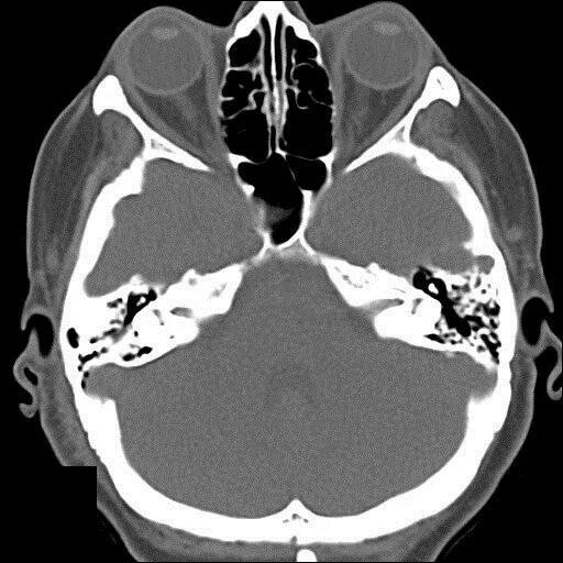
Череп на кт