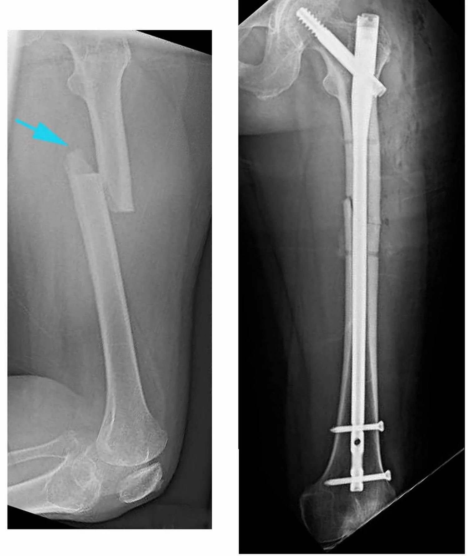
Через перелом бедра