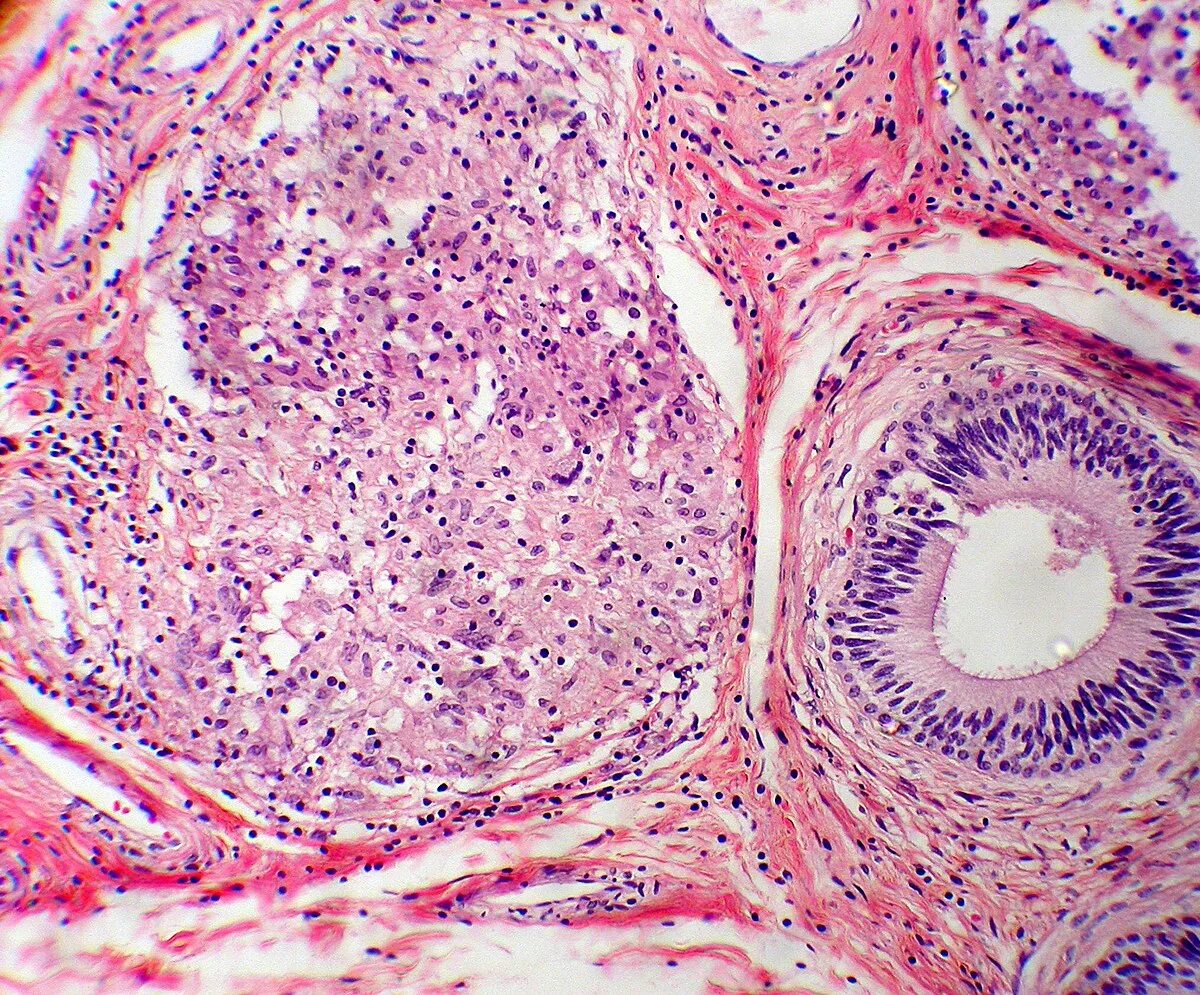
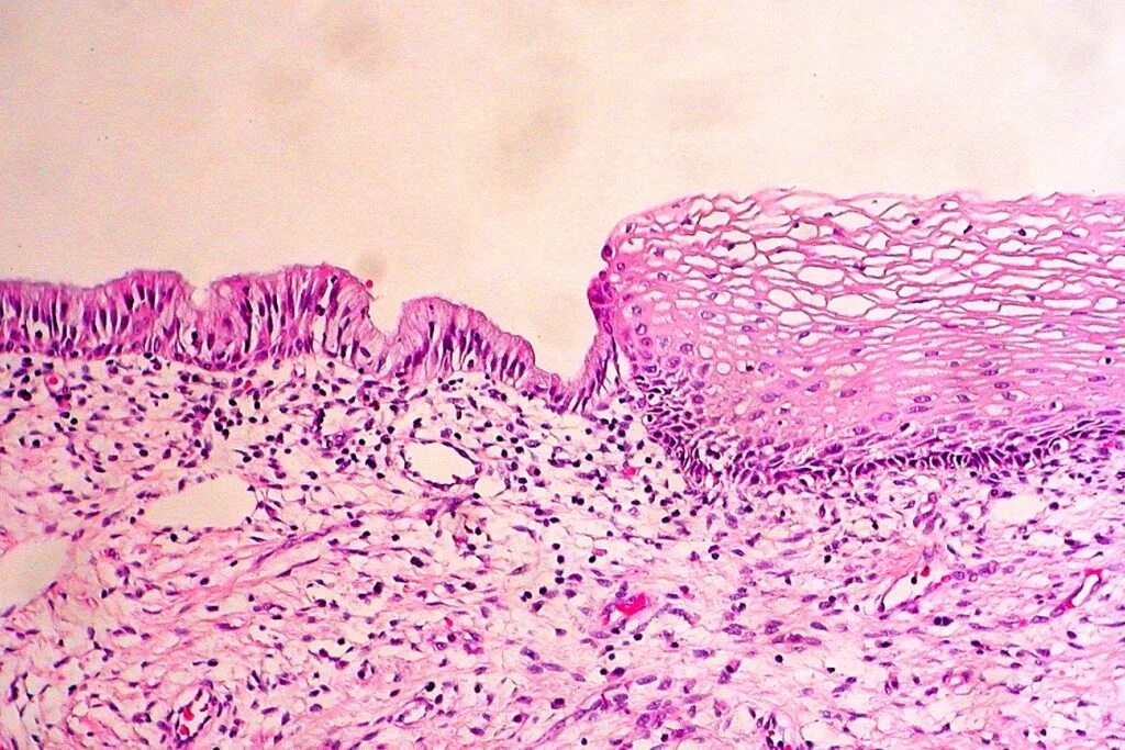
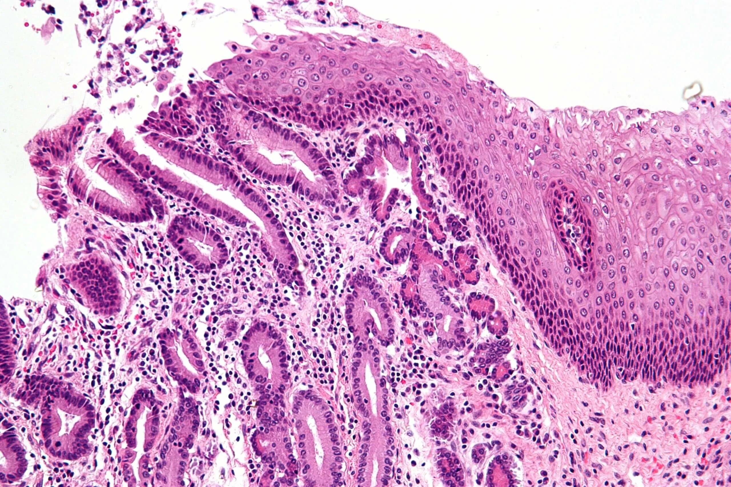
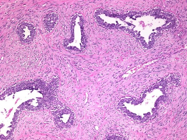
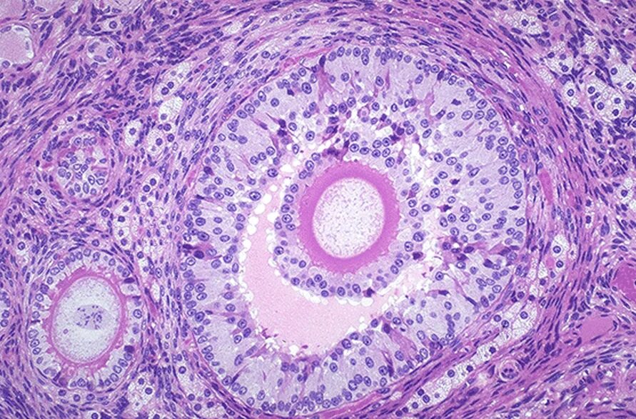
Что показала гистология замершей