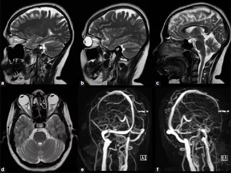
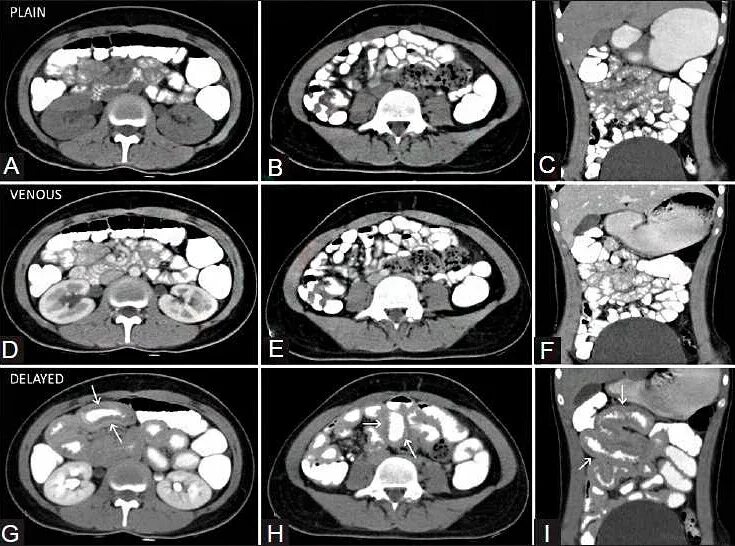
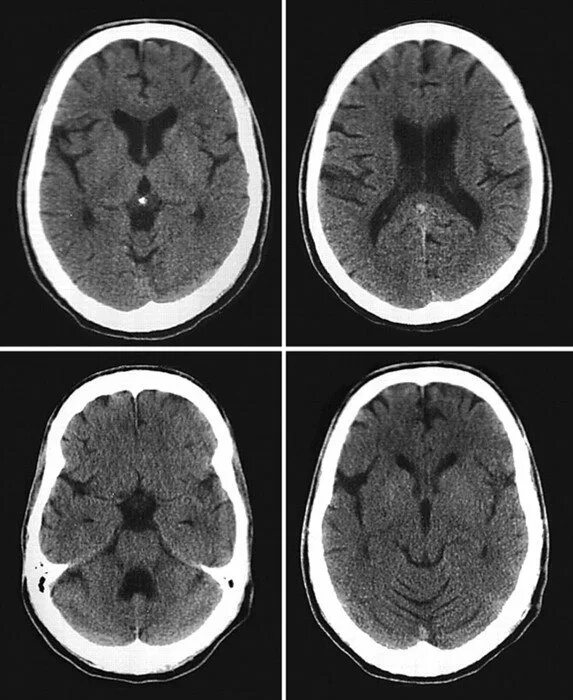
Что показывает кт