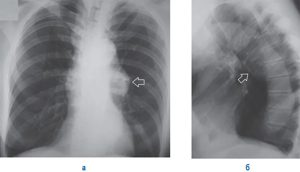
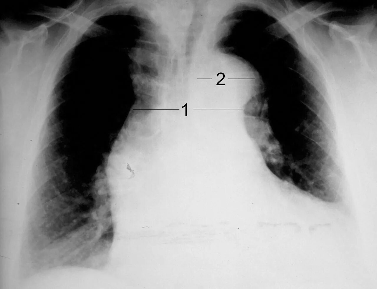
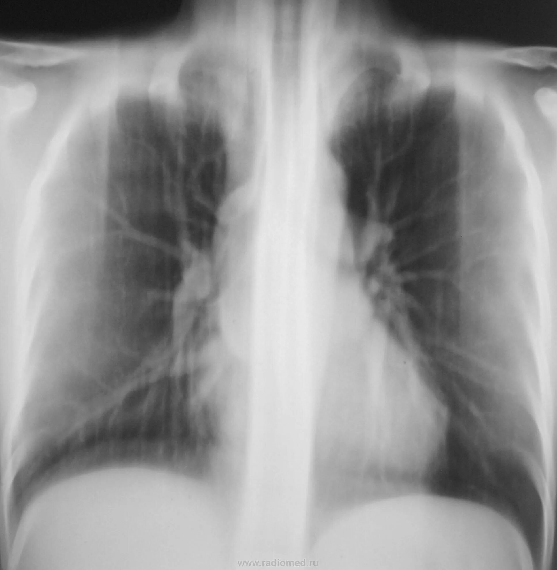
Что значит аорта уплотнена на флюорографии