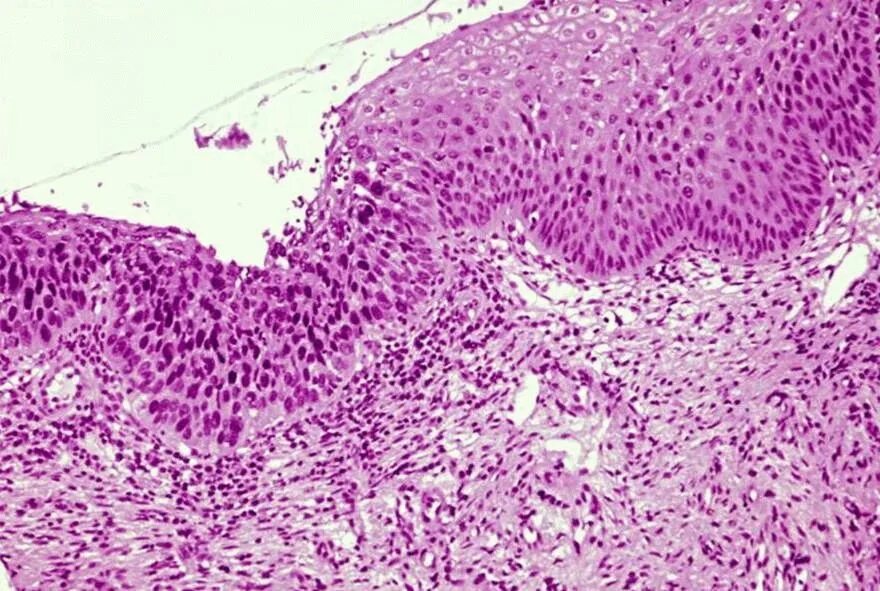
Cin 0