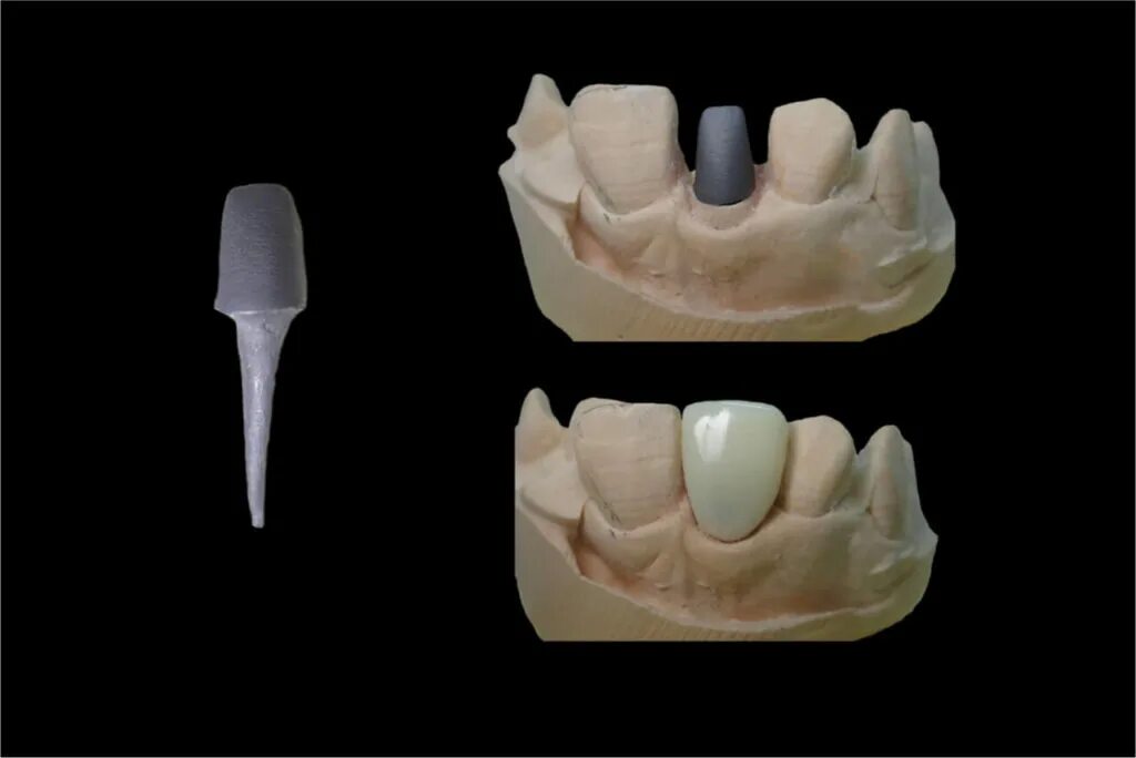
Core crowns