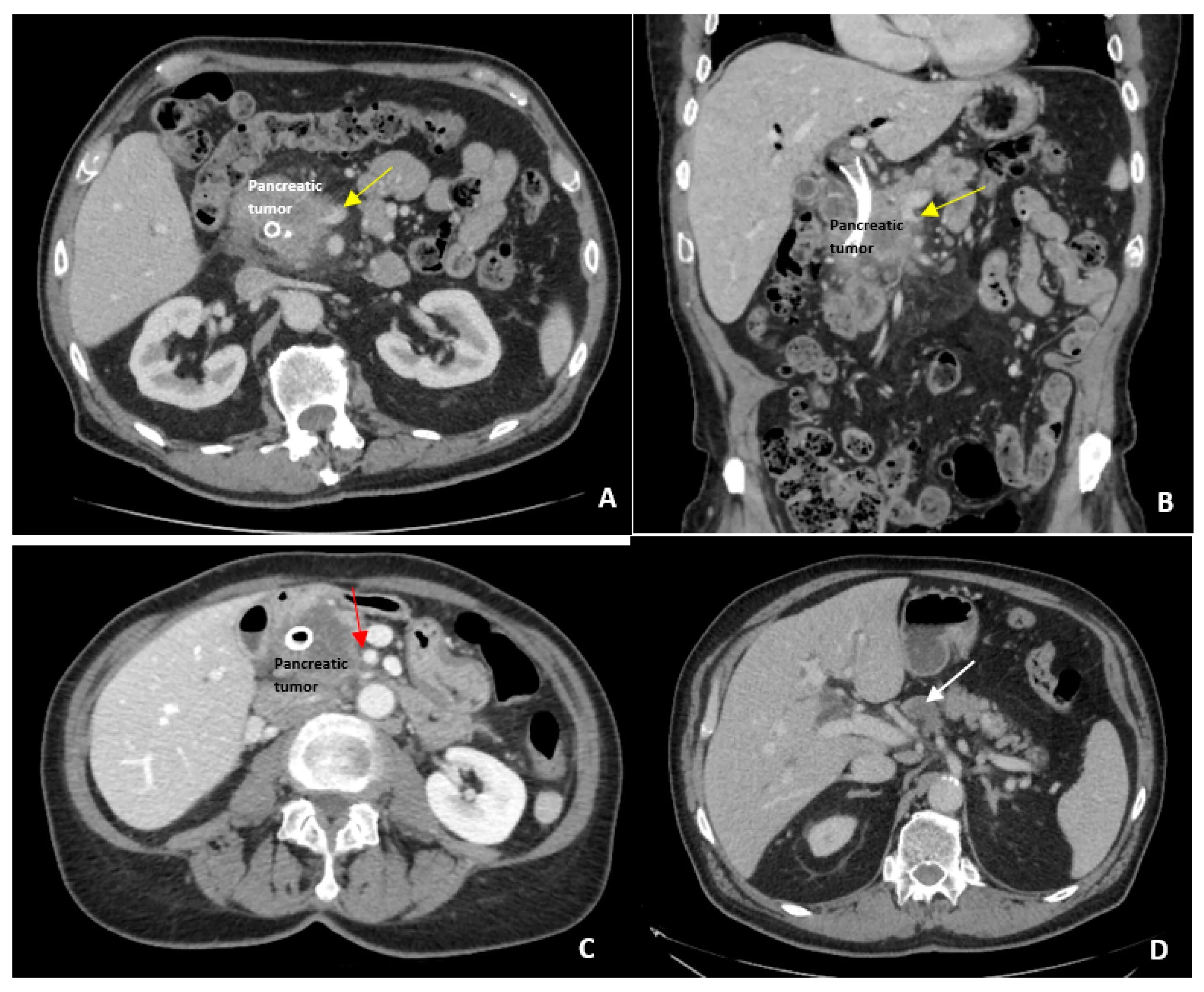
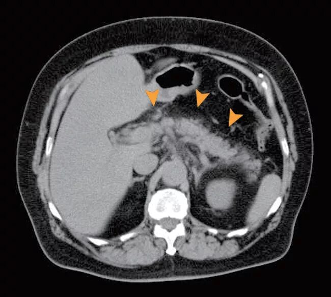
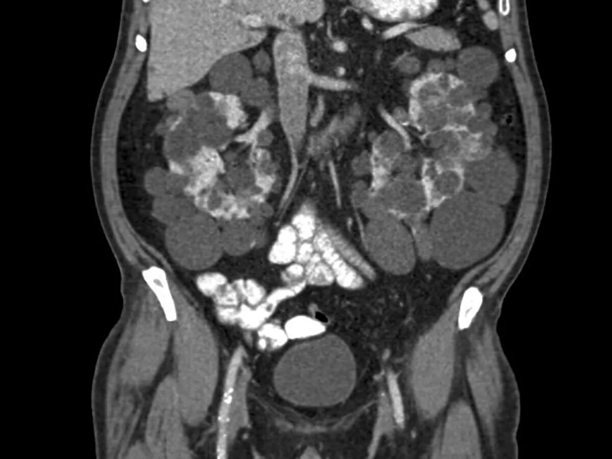
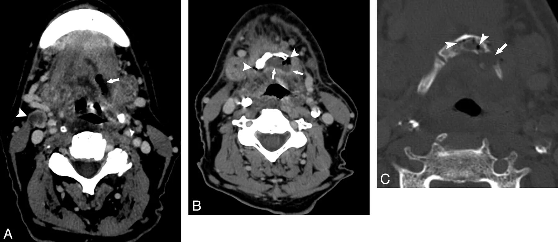
Ct search