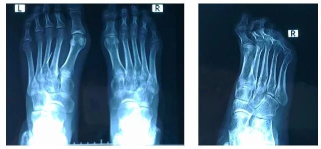
Деформация третьего