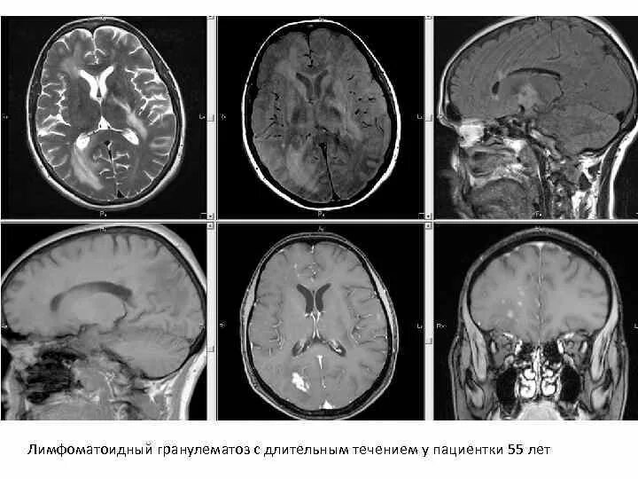
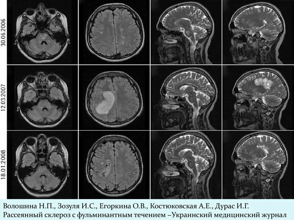
Демиелинизирующее заболевание головного мозга что это такое