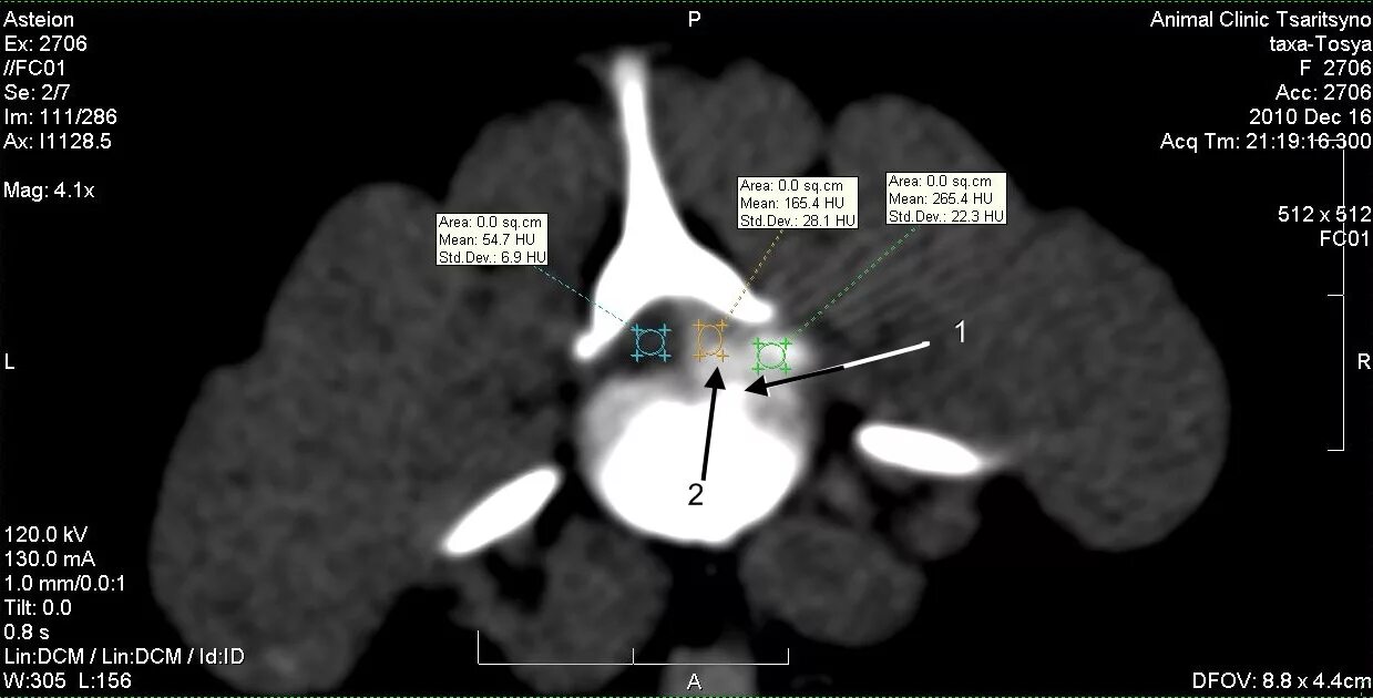
Диагноз грыжа диска