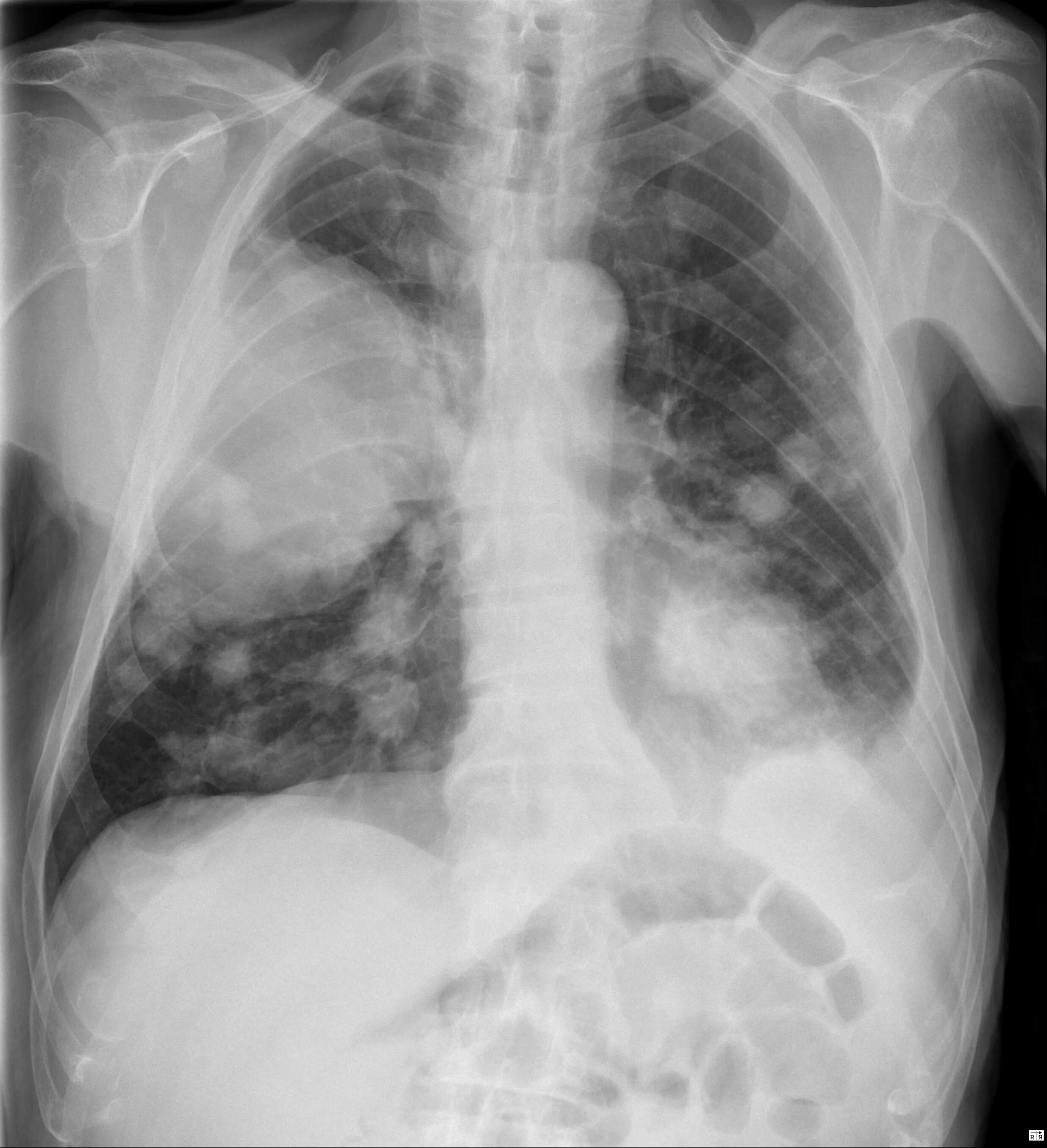
Диагноз метастазы