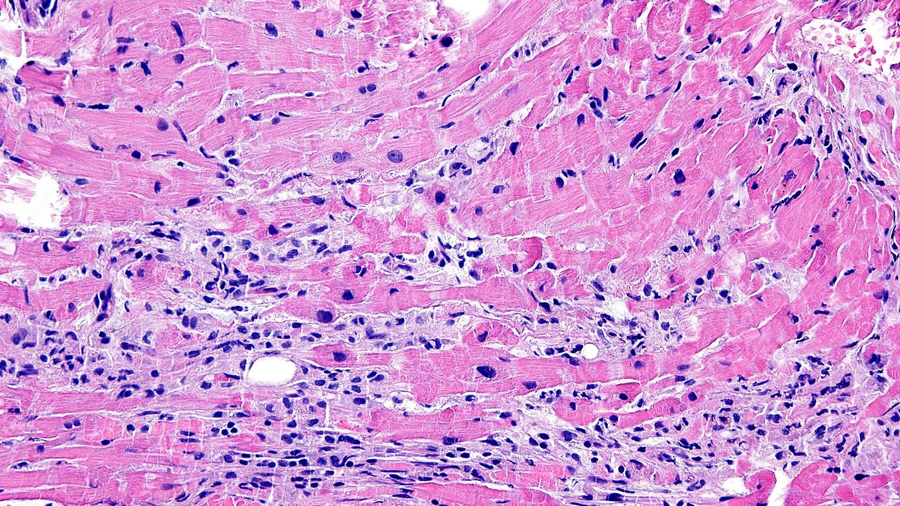
Диффузная лимфоцитарная инфильтрация