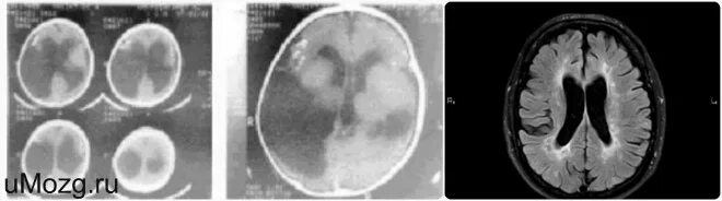
Диффузно атрофические изменения головного