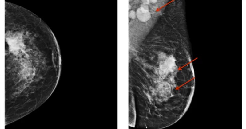
Диффузно фиброзно кистозные изменения