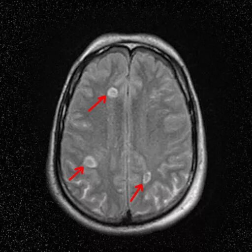
Диффузное поражение головного