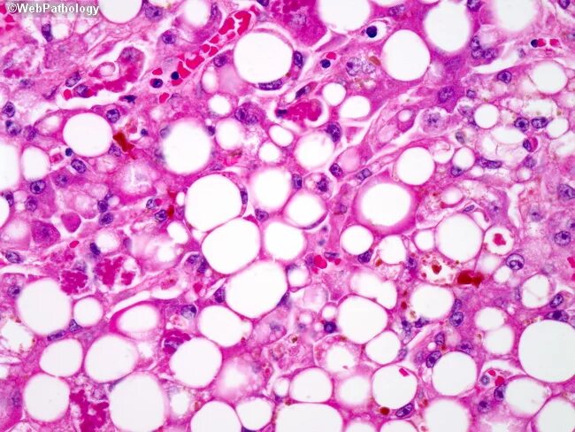
Диффузные изменения паренхимы по типу стеатоза