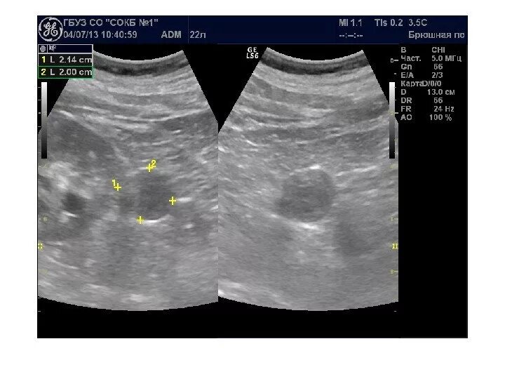
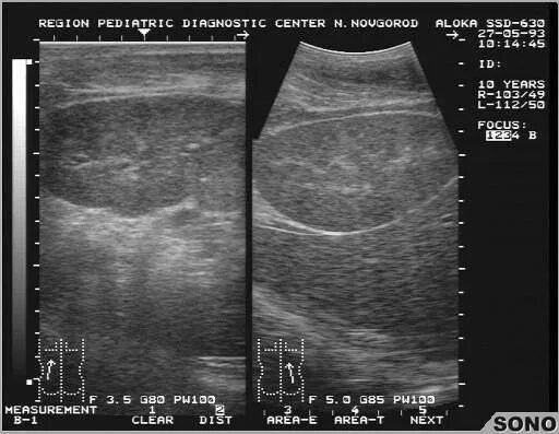
Диффузные изменения структур почечных синусов