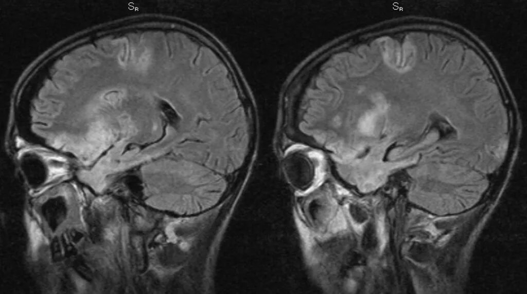
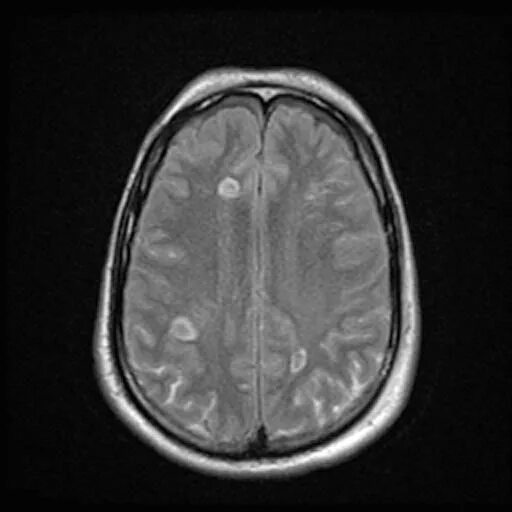
Диффузные повреждения