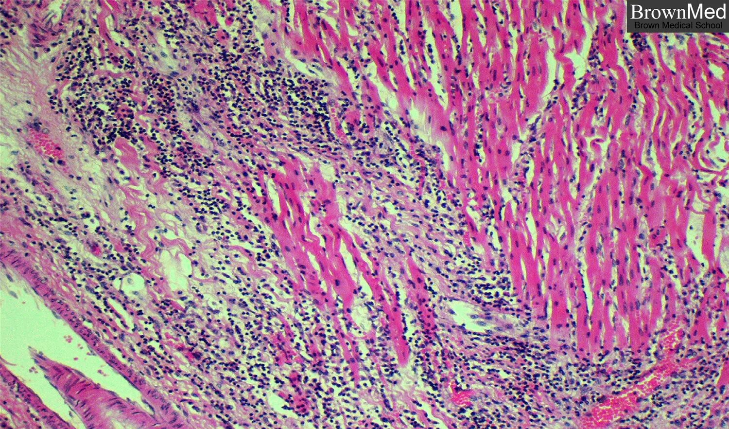
Диффузный процесс в миокарде