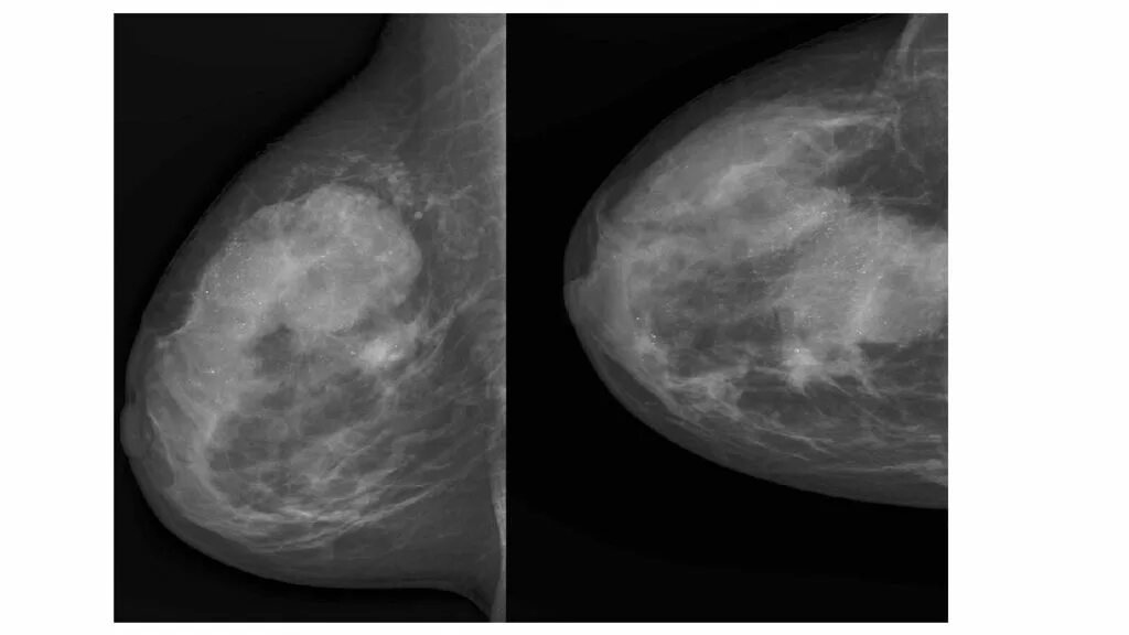
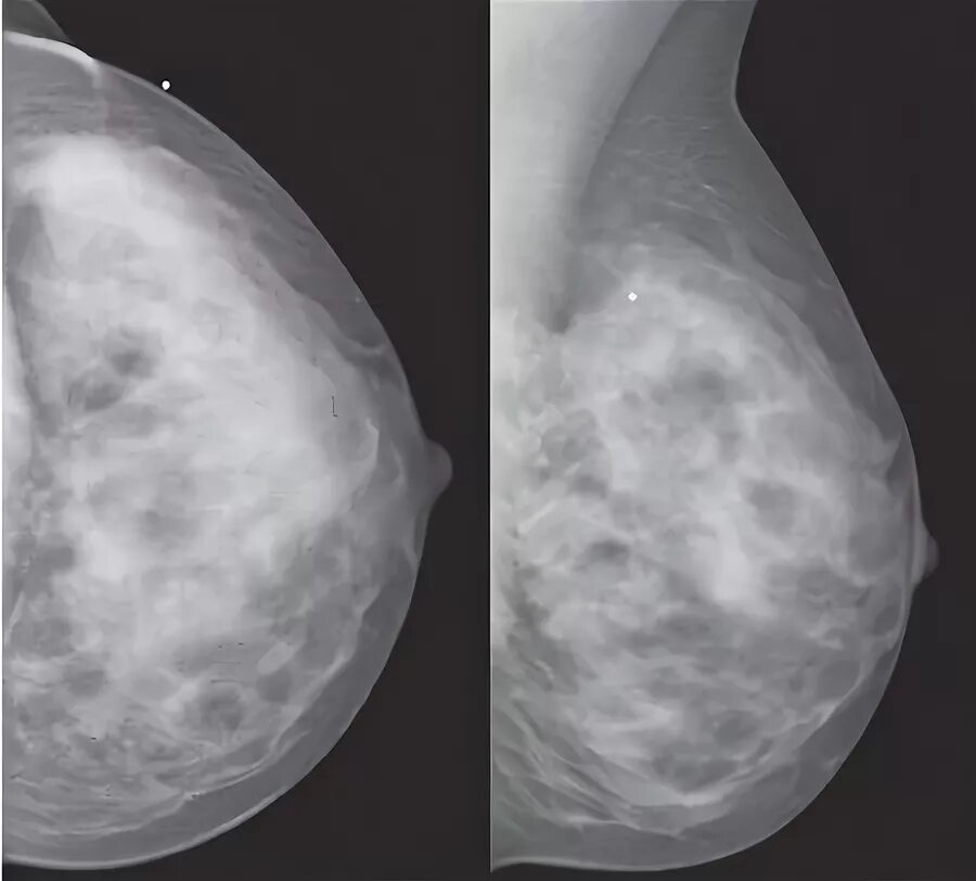
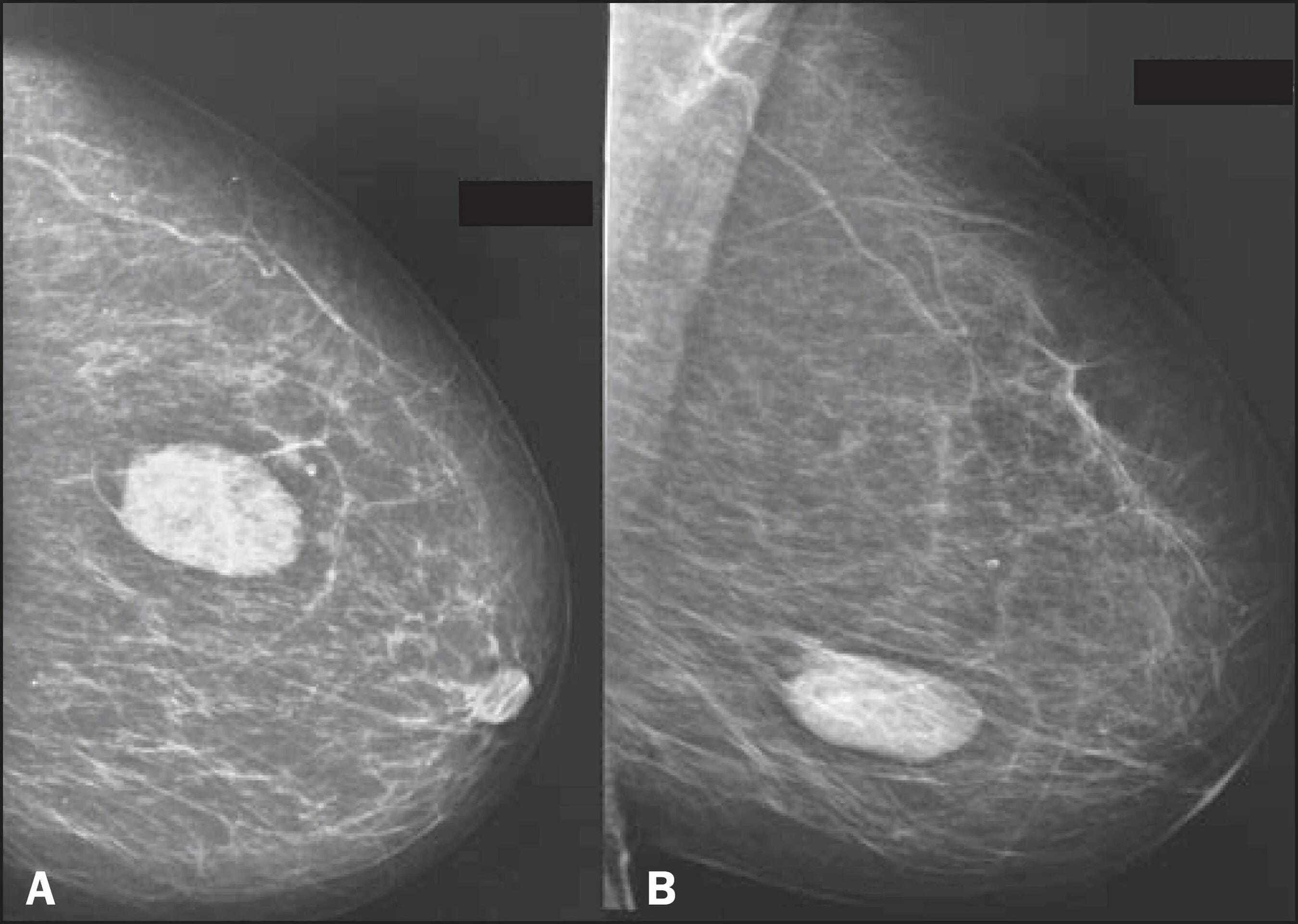
Доброкачественное новообразование молочной железы