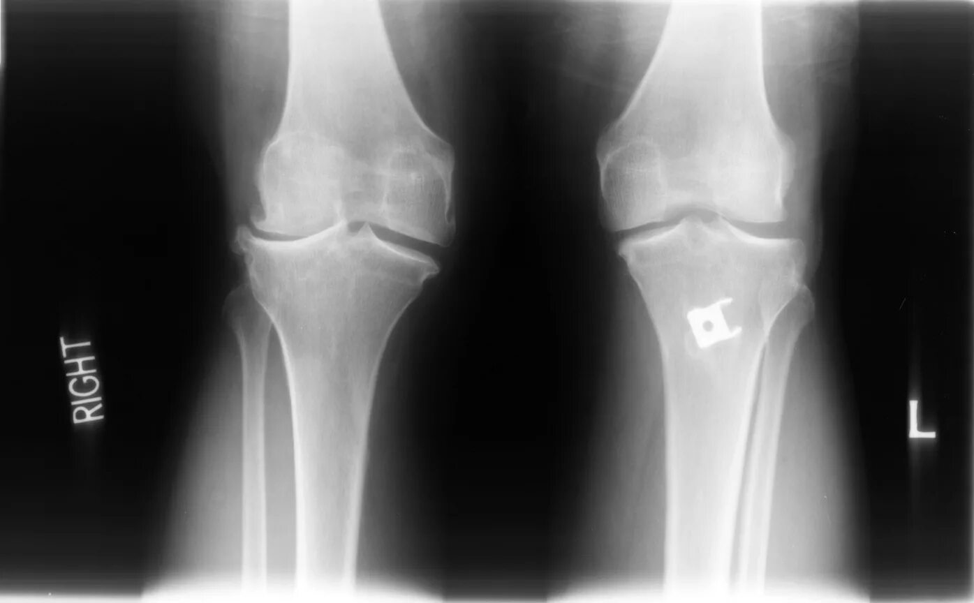
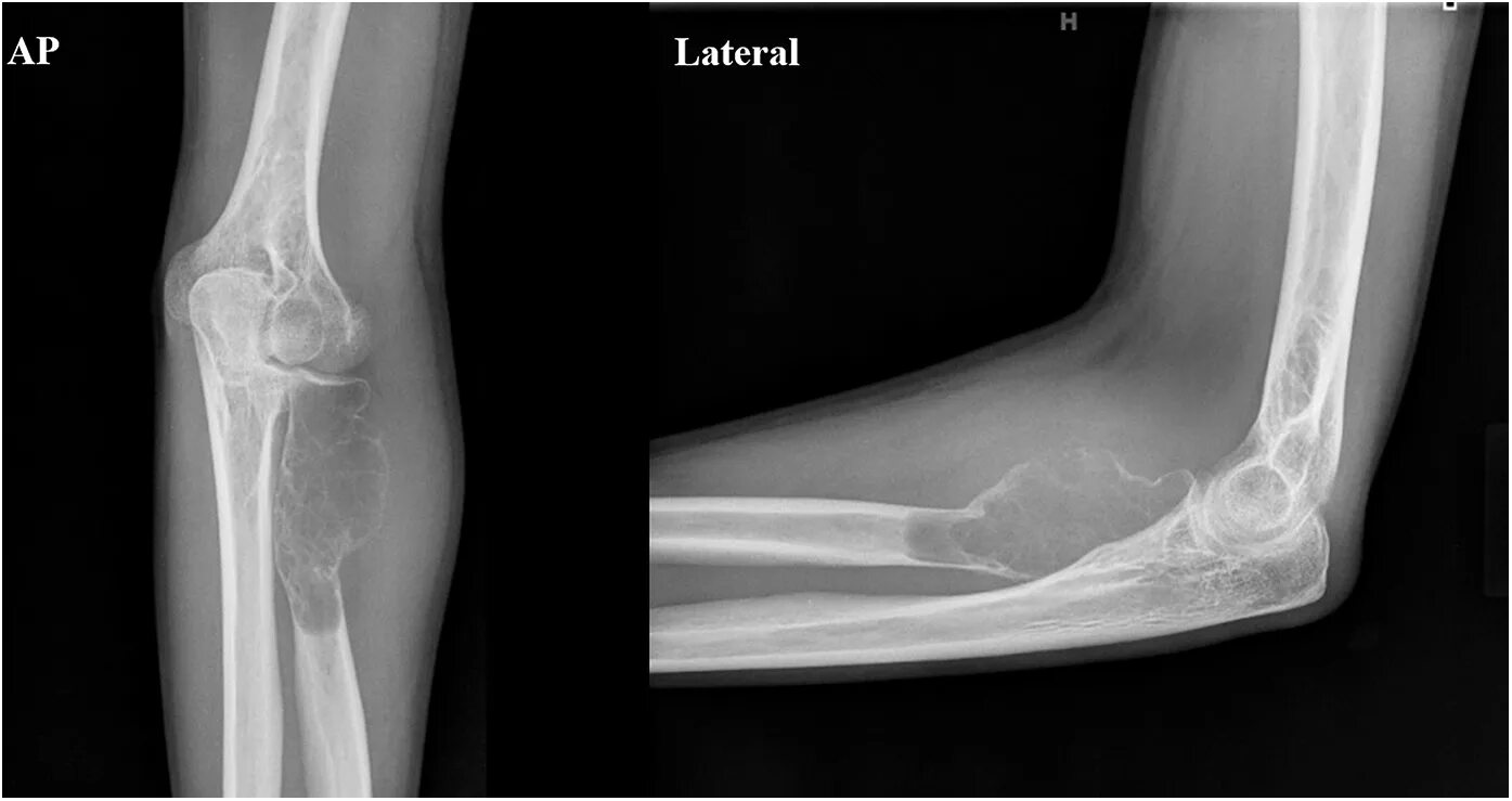
Doi 10.3390