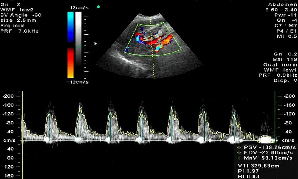
Доплер норма