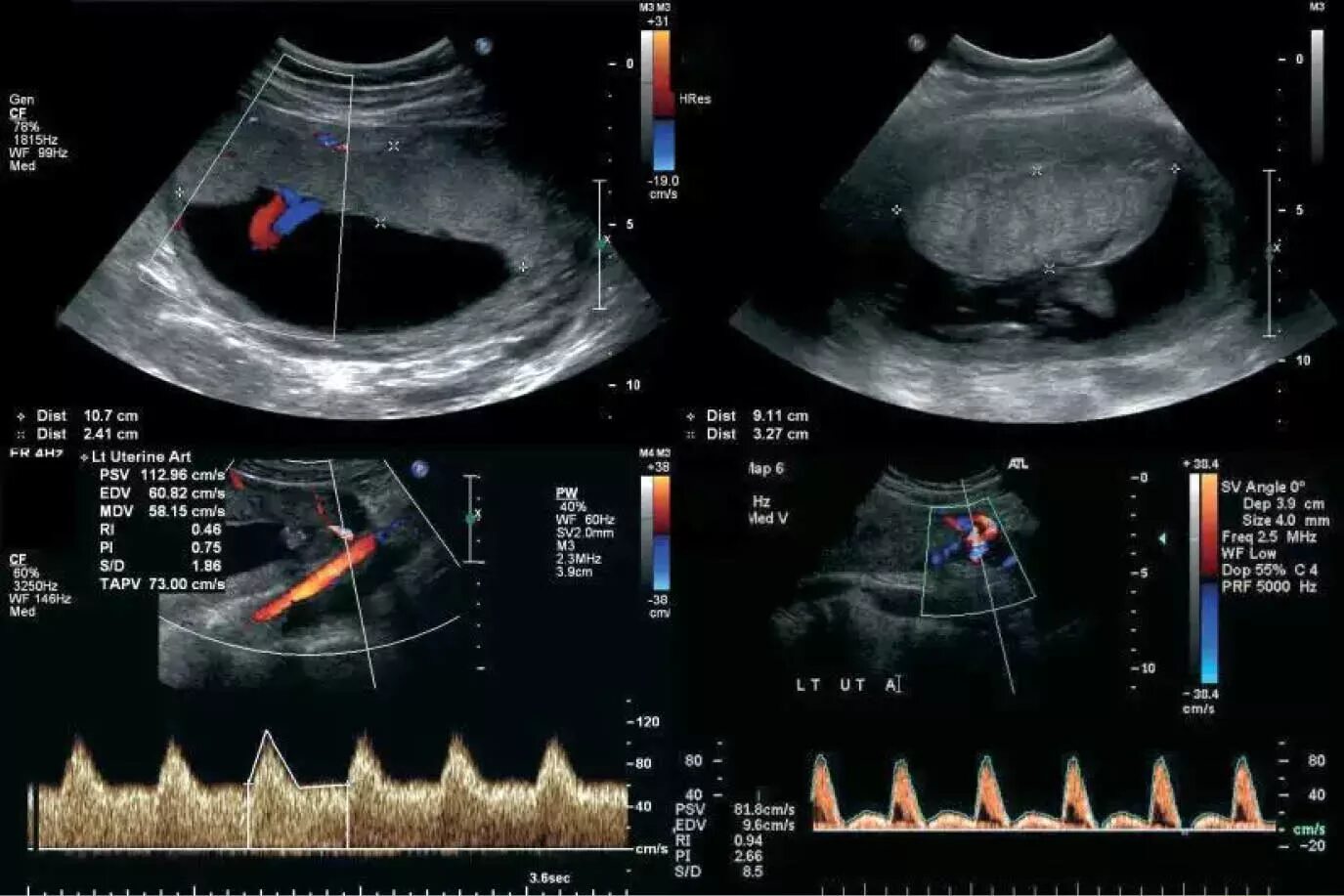
Допплерометрия маточных