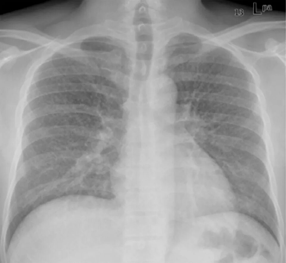
Единичные метастазы в легких